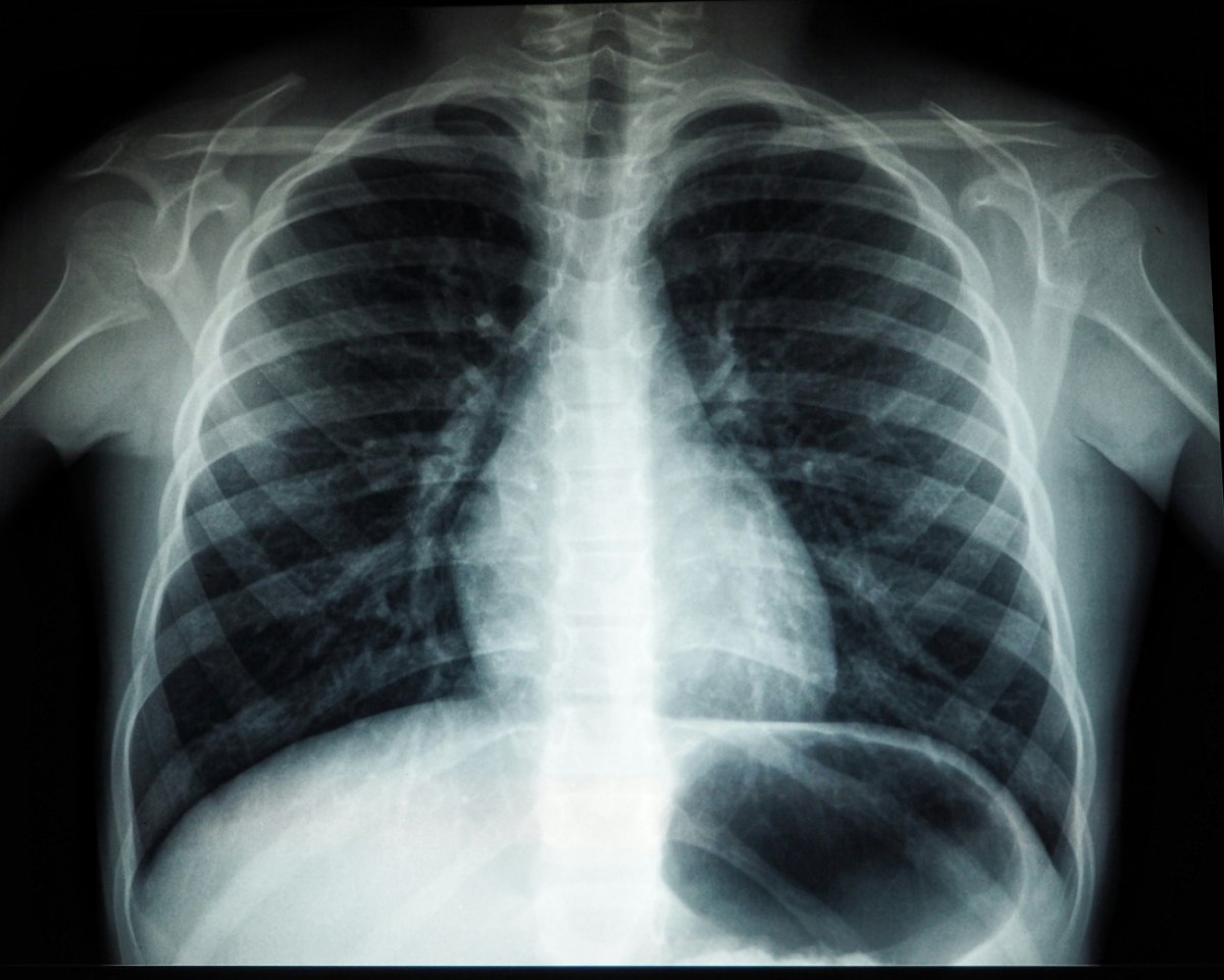
Η ατμοσφαιρική ρύπανση συνδέεται με μεταλλάξεις του DNA που προκαλούν καρκίνο του πνεύμονα
Ο καρκίνος του πνεύμονα παραδοσιακά συνδέεται με το κάπνισμα, όμως τα τελευταία χρόνια παρατηρείται αύξηση στα περιστατικά μεταξύ μη καπνιστών
Μια πρόσφατη μελέτη έδειξε ότι η ατμοσφαιρική ρύπανση συνδέεται με μεταλλάξεις στο DNA που ευθύνονται για την ανάπτυξη καρκίνου του πνεύμονα.
Η έρευνα αναδεικνύει πως όσο υψηλότερα είναι τα επίπεδα ρύπανσης σε μια περιοχή, τόσο αυξάνεται ο αριθμός μεταλλάξεων που προάγουν την εμφάνιση της νόσου, ακόμα και σε άτομα που δεν έχουν καπνίσει ποτέ.
Καρκίνος πνεύμονα σε μη καπνιστές
Ο καρκίνος του πνεύμονα παραδοσιακά συνδέεται με το κάπνισμα, όμως τα τελευταία χρόνια παρατηρείται αύξηση στα περιστατικά μεταξύ μη καπνιστών.
Η μελέτη Sherlock-Lung, η οποία ανέλυσε γενετικά δείγματα από 871 ασθενείς σε Ευρώπη, Βόρεια Αμερική, Αφρική και Ασία, ανέδειξε αυτήν την ανησυχητική τάση, σύμφωνα με τον Guardian.
Όπως εξηγεί ο καθηγητής Ludmil Alexandrov από το Πανεπιστήμιο της Καλιφόρνια, η ατμοσφαιρική ρύπανση προκαλεί τις ίδιες μεταλλάξεις στο DNA που συνδέονται με το κάπνισμα.
Η μελέτη επισημαίνει ότι τα λεπτά σωματίδια ρύπανσης επιδρούν στο γονίδιο TP53, γνωστό για τη σχέση του με το κάπνισμα και τον καρκίνο.
Επιπλέον, τα άτομα που εκτίθενται σε υψηλή ατμοσφαιρική ρύπανση εμφανίζουν μικρότερα τελομερή — δομές που προστατεύουν τα άκρα των χρωμοσωμάτων και συνδέονται με τη γήρανση των κυττάρων.
Η πρόωρη μείωση των τελομερών θεωρείται ένδειξη ταχύτερης γήρανσης, γεγονός που ενισχύει τη σοβαρότητα της επίδρασης της ρύπανσης στην υγεία.
Η αύξηση των μη καπνιστών ασθενών με καρκίνο πνεύμονα
Με τη μείωση του καπνίσματος σε πολλές περιοχές του κόσμου, όπως το Ηνωμένο Βασίλειο και οι ΗΠΑ, αυξάνεται το ποσοστό των μη καπνιστών που διαγιγνώσκονται με καρκίνο πνεύμονα.
Σήμερα, το 10-25% των περιστατικών είναι άτομα που δεν έχουν καπνίσει ποτέ, με τη συντριπτική πλειονότητα να αφορά το αδενοκαρκίνωμα — μια μορφή καρκίνου που συνδέεται με την ατμοσφαιρική ρύπανση.
Παγκόσμια διάσταση και γεωγραφικές διαφορές
Ο καρκίνος του πνεύμονα παραμένει η κύρια αιτία θανάτου από καρκίνο παγκοσμίως, με περίπου 2,5 εκατομμύρια νέες διαγνώσεις ετησίως.
Στην Κίνα, πάνω από ένα εκατομμύριο θάνατοι σχετίζονται με το συνδυασμό καπνίσματος, ατμοσφαιρικής ρύπανσης και άλλων περιβαλλοντικών παραγόντων.
Η υψηλότερη συχνότητα αδενοκαρκινώματος που αποδίδεται στην ατμοσφαιρική ρύπανση παρατηρείται στην Ανατολική Ασία, ενώ χώρες όπως το Ηνωμένο Βασίλειο εμφανίζουν χαμηλότερα, αλλά όχι αμελητέα, ποσοστά.
Παθητικό κάπνισμα και φυτικά φάρμακα
Η μελέτη διαπίστωσε μόνο μικρή αύξηση των καρκινογόνων μεταλλάξεων σε άτομα που εκτίθενται σε παθητικό κάπνισμα.
Ωστόσο, υπογράμμισε τον σημαντικό κίνδυνο από ορισμένα κινέζικα φυτικά φάρμακα που περιέχουν αριστολοχικό οξύ — ουσία που προκαλεί χαρακτηριστικές μεταλλάξεις σε μη καπνιστές στην Ταϊβάν.
Αυτό αποτελεί πρόσθετο παράγοντα που συμβάλλει στην εμφάνιση καρκίνου πνεύμονα σε άτομα χωρίς ιστορικό καπνίσματος.
Μυστήρια μοτίβα
Τέλος, η μελέτη ανέδειξε την ύπαρξη μιας μυστηριώδους μεταλλακτικής υπογραφής σε μη καπνιστές που δεν εμφανίζεται σε καπνιστές, γεγονός που υποδηλώνει άλλες άγνωστες αιτίες και μηχανισμούς πρόκλησης καρκίνου.
Όπως αναφέρει ο Alexandrov, πρόκειται για κάτι εντελώς διαφορετικό που χρειάζεται περαιτέρω διερεύνηση.
- «Toxic»: Ένας άντρας, μια γυναίκα, ένας θανατηφόρος ιός – Το ψυχολογικό θρίλερ έρχεται στο θέατρο Αργώ
- Κατώτατος μισθός: Προς νέα αύξηση κατά 40 ευρώ τον Απρίλιο του 2026
- «Ο Ναν μοιάζει να προσπαθεί να στείλει κόσμο στο νοσοκομείο»
- ClimateHub: Τα πιο ψυχρά και τα πιο θερμά Χριστούγεννα τα τελευταία 125 χρόνια
- Social media: Πως μας επηρεάζει η αποχή μιας εβδομάδας;
- «Πως ο Πάβλοβιτς επέλεξε την Εθνική Γερμανίας αντί της Σερβίας»
- Είναι το «Μια Υπέροχη Ζωή» μια αθώα χριστουγεννιάτικη ταινία – ή μήπως όχι;
- Home alone: Εννέα τρόποι για να περάσετε καλά και μόνοι στις γιορτές
Ακολουθήστε το in.gr στο Google News και μάθετε πρώτοι όλες τις ειδήσεις







![Άκρως Ζωδιακό: Τα Do’s και Don’ts στα ζώδια σήμερα [Πέμπτη 25.12.2025]](https://www.in.gr/wp-content/uploads/2025/12/evgeni-tcherkasski-bE4C_M7M4xY-unsplash-1-315x220.jpg)














































































Αριθμός Πιστοποίησης Μ.Η.Τ.232442