Ελληνική πειραματική θεραπεία της ιδιοπαθούς πνευμονικής ίνωσης
Οι ερευνητές του ΕΚΠΑ και του Ερευνητικού Κέντρου Βιοϊατρικών Επιστημών «Αλέξανδρος Φλέμινγκ», παρουσίασαν έναν αναστολέα, που έδωσε πολύ ενθαρρυντικά αποτελέσματα σε πειραματόζωα, αντιμετωπίζοντας τη φλεγμονή και επαναφέροντας σε φυσιολογικά επίπεδα διάφορους δείκτες, όπως τη συγκέντρωση του κολλαγόνου στον πνεύμονα
Την ανάπτυξη μιας καινοτόμου κατηγορίας φαρμάκων, των αναστολέων αυτοταξίνης, που μπορούν να χρησιμοποιηθούν για την αντιμετώπιση της ιδιοπαθούς πνευμονικής ίνωσης, ανακοίνωσε ομάδα Ελλήνων ερευνητών με επικεφαλής τον καθηγητή Γιώργο Κόκοτο του Τμήματος Χημείας του Πανεπιστημίου Αθηνών.
Οι ερευνητές του ΕΚΠΑ και του Ερευνητικού Κέντρου Βιοϊατρικών Επιστημών «Αλέξανδρος Φλέμινγκ», που έκαναν σχετική δημοσίευση στο επιστημονικό έντυπο Journal of Medicinal Chemistry, παρουσίασαν έναν αναστολέα, που έδωσε πολύ ενθαρρυντικά αποτελέσματα σε πειραματόζωα με πνευμονική ίνωση, αντιμετωπίζοντας τη φλεγμονή και επαναφέροντας σε φυσιολογικά επίπεδα διάφορους δείκτες, όπως τη συγκέντρωση του κολλαγόνου στον πνεύμονα.
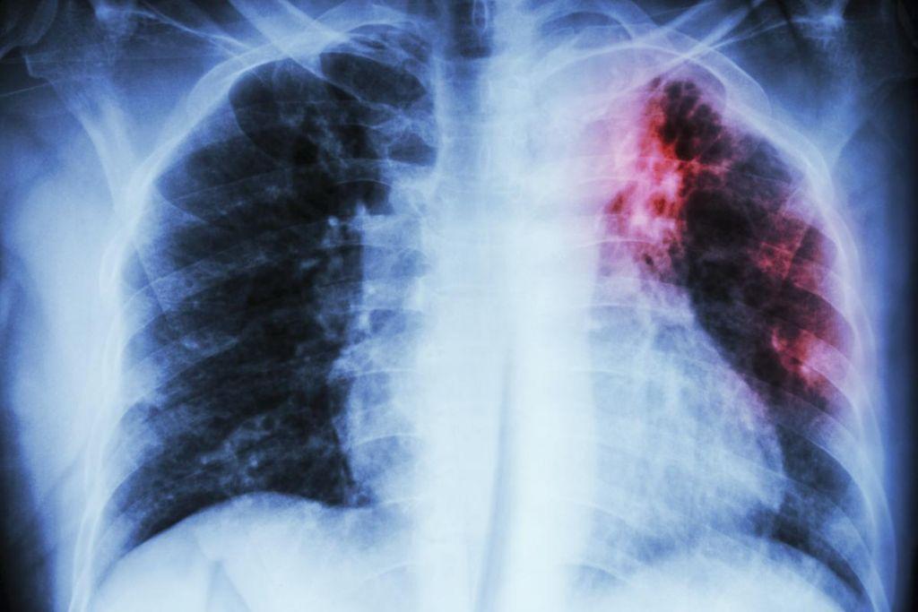
Η ιδιοπαθής πνευμονική ίνωση, που έχει μέση επιβίωση δύο έως πέντε χρόνια μετά τη διάγνωση, είναι μια πάθηση για την οποία χρειάζεται επειγόντως η ανάπτυξη καινοτόμων φαρμάκων, καθώς δεν έχει βρεθεί μέχρι σήμερα αποτελεσματική φαρμακευτική αντιμετώπιση.
Η ερευνητική ομάδα του ΕΚΠΑ προχώρησε στο σχεδιασμό και στη σύνθεση καινοτόμων μικρών οργανικών μορίων, τα οποία στοχεύουν στην αναστολή ενός ενζύμου που εμπλέκεται στην παραγωγή ενός βιοδραστικού λιπιδίου.
Τα ένζυμα που σχετίζονται με τον μεταβολισμό των λιπιδίων και οι υποδοχείς που αλληλεπιδρούν με τα βιοδραστικά λιπίδια, αποτελούν ένα τομέα που έχει ελάχιστα διερευνηθεί μέχρι σήμερα για την ανακάλυψη καινοτόμων φαρμάκων. Τα λιπίδια αυτά αποτελούν ελκυστικούς στόχους για το σχεδιασμό και τη σύνθεση καινοτόμων μικρών μορίων που εμφανίζουν νέους μηχανισμούς φαρμακολογικής δράσης.
Τα ερευνητικά αποτελέσματα έχουν κατοχυρωθεί με διεθνές δίπλωμα ευρεσιτεχνίας που κατέχει το Πανεπιστήμιο Αθηνών και ήδη διερευνώνται οι δυνατότητες εμπορικής εκμετάλλευσής τους. Η αξία της παγκόσμιας φαρμακευτικής αγοράς για την ιδιοπαθή πνευμονική ίνωση, που το 2016 ανήλθε σε 1,6 δισεκατομμύρια δολάρια, εκτιμάται ότι θα προσεγγίσει τα 3,5 δισεκατομμύρια δολάρια μέχρι το 2023.
Οι καινοτόμοι αναστολείς της αυτοταξίνης ανοίγουν νέους δρόμους για τη ανακάλυψη και την ανάπτυξη φαρμάκων που θα αντιμετωπίζουν αποτελεσματικά χρόνιες φλεγμονώδεις καταστάσεις, συμπεριλαμβανομένου του καρκίνου.
Στην έρευνα συμμετείχαν, επίσης, οι ερευνητές Αικατερίνη Νικολάου, Ιωάννα Νίνου, Μαρούλα Κόκοτου, Ελεάνα Καφέ, Ανδρέας Αφαντίτης και Βασίλης Αϊδίνης.
- Αυτές είναι οι πιο συγκινητικές στιγμές του 2025
- Η Μπρέντα Λι θυμάται ότι ηχογράφησε το «Rockin’ Around the Christmas Tree», ενώ η πόλη έβραζε
- Η Παπαμιχαήλ και το όνειρο της συμμετοχής στο κυρίως ταμπλό του Αυστραλιανού Όπεν
- Νιγηρία: Έκρηξη σε τζαμί στην πόλη Μαϊντουγκούρι – Τουλάχιστον επτά νεκροί και πολλοί τραυματίες
- Ο κύκλος εργασιών της παραγωγής ασφαλίστρων το δεκάμηνο του 2025 – Πώς κινήθηκαν οι επιμέρους κλάδοι
- Αυτό είναι το πιο μοναχικό μέρος στη Γη – Πού κατατάσσεται η Ελλάδα;
- Ο Άρης Betsson μοίρασε δώρα και χαμόγελα στα παιδιά της κλινικής «Άγιος Λουκάς»
- Σιβηρία: Η περιοχή με τη χαμηλότερη θερμοκρασία την παραμονή των Χριστουγέννων στη Γη
Ακολουθήστε το in.gr στο Google News και μάθετε πρώτοι όλες τις ειδήσεις






![Άκρως Ζωδιακό: Τα Do’s και Don’ts στα ζώδια σήμερα [Τετάρτη 24.12.2025]](https://www.in.gr/wp-content/uploads/2025/12/stephan-widua-ef5IgSRyFjo-unsplash-315x220.jpg)


























































Αριθμός Πιστοποίησης Μ.Η.Τ.232442