Παρασκευή 27 Φεβρουαρίου 2026
weather-icon 21o
Γρεβενά: Ευθανασία σε ζαρκάδι που πυροβόλησαν λαθροθήρες – Έφερε συντριπτικά κατάγματα

Γρεβενά: Ευθανασία σε ζαρκάδι που πυροβόλησαν λαθροθήρες – Έφερε συντριπτικά κατάγματα

Το ζαρκάδι αποτελεί προστατευόμενο είδος και απαγορεύεται το κυνήγι του

Ακόμη ένα περιστατικό λαθροθηρίας σημειώθηκε τις προηγούμενες ημέρες στη Βόρεια Ελλάδα με θύμα ένα ζαρκάδι.

Το άτυχο ζώο βρέθηκε από κυνηγό στη Δεσκάτη Γρεβενών και στη συνέχεια μέσω της Κυνηγετικής Ομοσπονδίας Μακεδονίας Θράκης και της τοπικής Διεύθυνσης Δασών μεταφέρθηκε στο Κτηνιατρείο Άγριων Ζώων του Αρκτούρου.

Το ζαρκάδι αποτελεί προστατευόμενο είδος και απαγορεύεται το κυνήγι του

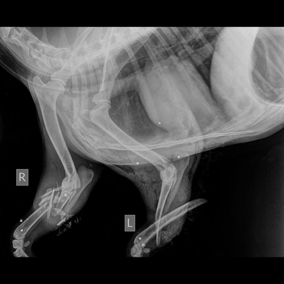
Από τις ακτινογραφίες που του έγιναν διαπιστώθηκε ότι το ζαρκάδι είχε πυροβοληθεί από λαθροθήρα και στα δύο μπροστινά του άκρα, όπου και έφερε συντριπτικά κατάγματα. Η κατάστασή του, δυστυχώς, ήταν μη αναστρέψιμη με αποτέλεσμα να γίνει ευθανασία.

Η ακτινογραφία

Υπενθυμίζεται ότι το ζαρκάδι αποτελεί προστατευόμενο είδος και απαγορεύεται το κυνήγι του.

Η ανακοίνωση του Αρκτούρου:

Έσωσαν ζαρκάδι δημοτικοί υπάλληλοι

Δημοτικοί υπάλληλοι του δήμου Φλώρινας εντόπισαν ένα τραυματισμένο ζαρκάδι και το περισυνέλεξαν σώζοντας του τη ζωή.

Το νεαρό ζαρκάδι εντοπίστηκε τραυματισμένο, σε χώρο πλησίον του Ζωολογικού Κήπου Φλώρινας. Η περίθαλψη του τραυματισμένου ζαρκαδιού από υπαλλήλους του δήμου Φλώρινας είναι η καλύτερη απάντηση σε εκείνους που συνεχίζουν να βασανίζουν τα ζώα.

Άμεση ήταν η κινητοποίηση των υπεύθυνων υπαλλήλων του δήμου Φλώρινας, οι οποίοι το περισυνέλεξαν και το μετέφεραν σε φυλασσόμενο χώρο εντός του Ζωολογικού Κήπου και ειδοποίησαν κτηνίατρο.

Στο ζαρκάδι παρασχέθηκαν οι πρώτες βοήθειες και χορηγήθηκε αντιβίωση, ενώ ειδοποιήθηκε ο «Αρκτούρος», στελέχη του οποίου το παρέλαβαν και το μετέφεραν στις εγκαταστάσεις τους για περαιτέρω περίθαλψη και φροντίδα.

Ακολουθήστε το in.gr στο Google News και μάθετε πρώτοι όλες τις ειδήσεις

in.gr | Ταυτότητα

Διαχειριστής - Διευθυντής: Λευτέρης Θ. Χαραλαμπόπουλος

Διευθύντρια Σύνταξης: Αργυρώ Τσατσούλη

Ιδιοκτησία - Δικαιούχος domain name: ALTER EGO MEDIA A.E.

Νόμιμος Εκπρόσωπος: Ιωάννης Βρέντζος

Έδρα - Γραφεία: Λεωφόρος Συγγρού αρ 340, Καλλιθέα, ΤΚ 17673

ΑΦΜ: 800745939, ΔΟΥ: ΚΕΦΟΔΕ ΑΤΤΙΚΗΣ

Ηλεκτρονική διεύθυνση Επικοινωνίας: in@alteregomedia.org, Τηλ. Επικοινωνίας: 2107547007

ΜΗΤ Αριθμός Πιστοποίησης Μ.Η.Τ.232442

Παρασκευή 27 Φεβρουαρίου 2026
Απόρρητο