Βία κατά γυναικών: Οι ακτινογραφίες που δείχνουν τον εφιάλτη
Σοκάρουν οι ακτινογραφίες από περιστατικά επιθέσεων κατά γυναικών - Εγκαύματα, μελανιές, σπασμένα οστά, σημάδια στραγγαλισμού, μαχαίρι στην πλάτη
Τον Δεκέμβριο του 1991 η Γενική Συνέλευση του ΟΗΕ αποφάσισε να ανακηρύξει την 25η Νοεμβρίου ως Διεθνή Ημέρα για την Εξάλειψη της Βίας κατά των γυναικών, με σκοπό να αναδείξει ένα σημαντικό πρόβλημα με παγκόσμια διάσταση.
Έκτοτε κάθε χρόνο, γυναίκες από όλο τον κόσμο στέλνουν το δικό τους μήνυμα κατά των διακρίσεων.
Σύμφωνα με στοιχεία του Οργανισμού Θεμελιωδών Δικαιωμάτων της Ευρωπαϊκής Ένωσης, μία στις δέκα γυναίκες ηλικίας από 15 ετών και άνω έχει υποστεί κάποια μορφή βίας, ενώ μία στις δέκα δηλώνει ότι βίωσε σεξουαλική βία από ενήλικα πριν συμπληρώσει το 15ο έτος της ηλικίας της.
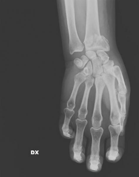
Με αφορμή την Ημέρα, η ιταλική «La Repubblica» φιλοξένησε την γιατρό Μαρία Γκαρσία Βανταντόρι σε ένα εξαιρετικό αφιέρωμα το οποίο δημοσίευσε ακτινογραφίες γυναικών που έχουν πέσει θύματα ενδοοικογενιακής βίας.
Ο αόρατος πόλεμος και τα «ατυχήματα»
Η Μαρία Γκράτσια Βανταντόρι είναι χειρουργός επί 26 χρόνια στο μιλανέζικο νοσοκομείο Σαν Κάρλο. Με πρωτοβουλία της πραγματοποιείται μια έκθεση ακτινογραφιών κακοποιημένων γυναικών.

Η ίδια αναφέρει πως στις ακτινογραφίες των θυμάτων αντικατοπτρίζεται η καθημερινή φρίκη που αντιμετωπίζει με τους συναδέλφους της στα «Επείγοντα».
«Συχνά οι τραυματισμένες γυναίκες δεν έχουν τη δύναμη να πουν τι τους έχει συμβεί, αλλά τα σώματά τους και τα τραύματά τους μιλούν από μόνα τους», σημειώνει, μιλώντας στην ισπανική εφημερίδα.
Σύμφωνα με την ίδια, καθημερινά καλούνται να αντιμετωπίσουν «σπασμένα οστά σε μύτη, χέρια, πόδια, πληγές από μαχαιριές, εγκαύματα, μελανιές και άλλα σημάδια στραγγαλισμού».
Κάνει λόγο μάλιστα και για περιστατικό, όπου ασθενής εμφανίστηκε με μαχαίρι στην πλάτη, που όμως το περιστατικό δηλώθηκε ως «ατύχημα» στο νοσοκομείο.

«Όλα αυτά τα χρόνια έχω δει χιλιάδες ακτινογραφίες γυναικών με κάθε είδους τραύματα, ακόμη και πολύ σοβαρά. Πολλές από αυτές τις κακοποιημένες γυναίκες αρνήθηκαν ότι τα τραύματά τους προκλήθηκαν από τους συζύγους ή άλλα μέλη της οικογένειάς τους. Η άρνησή τους σχετίζεται με συναισθήματα όπως φόβος, ντροπή, αγωνία για την τύχη των παιδιών τους ή και για τη ζωή τους ακόμη», σημειώνει η γιατρός.

- Γιατί δεν προχωράει η μεταγραφή του Μήτογλου στη Σαμπντόρια
- Λυμπερόπουλος: «Συσσωρευμένα και προαναγγελθέντα τα προβλήματα» που οδηγούν σε νέες απεργίες τα ταξί
- Τσιάρας: Ψαλιδίζει τις προσδοκίες των αγροτών (και) για το ρεύμα
- Μεξικό: Νεκρός από σφαίρες δημοσιογράφος του αστυνομικού ρεπορτάζ
- Euroleague: Για τον Μάρτιο ορίστηκε το Ολυμπιακός – Φενέρμπαχτσε
- Μέγαρο Μαξίμου: Τι επιδιώκει από τη συνάντηση της Τρίτης με τους αγρότες
- Ηράκλειο: Πτώμα γυναίκας σε προχωρημένη σήψη εντοπίστηκε σε εγκαταλελειμμένο κτίριο
- Κώστας Κακκαβάς: Έγινε 90 χρόνων – Η αδημοσίευτη φωτογραφία
Ακολουθήστε το in.gr στο Google News και μάθετε πρώτοι όλες τις ειδήσεις






![Άκρως Ζωδιακό: Τα Do’s και Don’ts στα ζώδια σήμερα [Παρασκευή 09.01.2026]](https://www.in.gr/wp-content/uploads/2026/01/david-becker-jDVJH_9p3pk-unsplash-1-315x220.jpg)












































































Αριθμός Πιστοποίησης Μ.Η.Τ.232442