Καρκίνος του τραχήλου της μήτρας: Νέα θεραπεία είναι «η σημαντικότερη εξέλιξη της 20ετίας»
Η χορήγηση δύο υπαρχόντων φαρμάκων πριν από τη στάνταρτ θεραπεία μείωσε την πιθανότητα θανάτου ή υποτροπής κατά το ένα τρίτο.
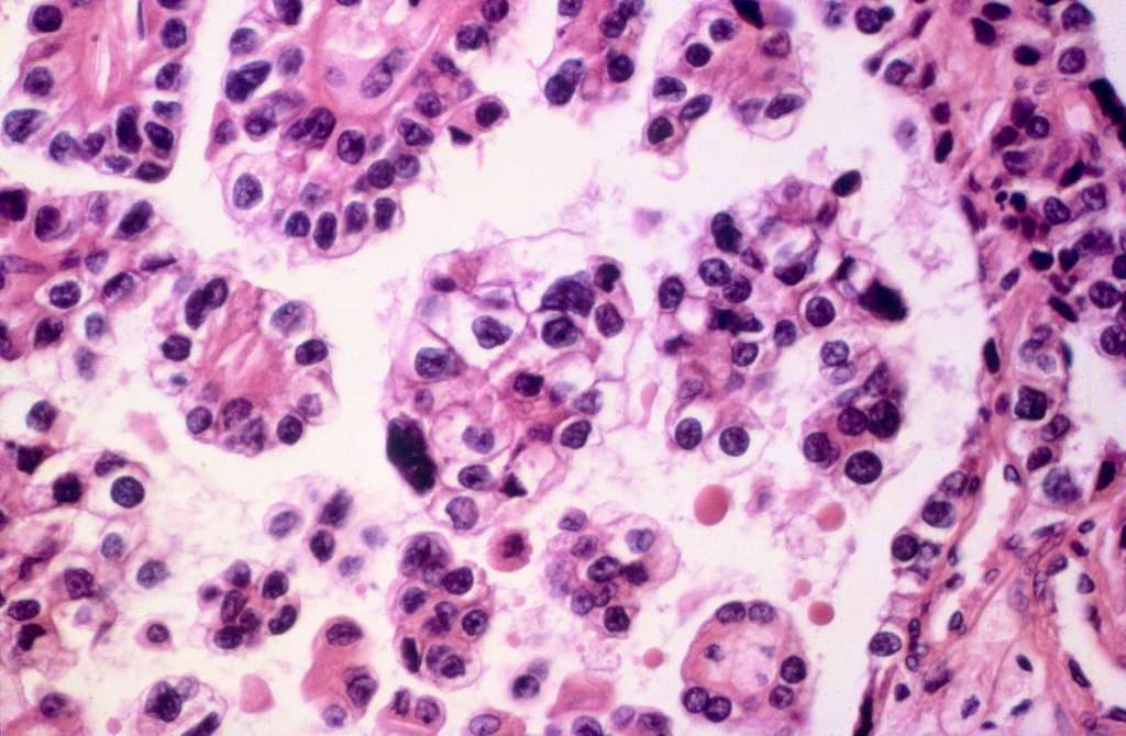
Ένα κοκτέιλ υπαρχόντων, φθηνών φαρμάκων που χορηγείται πριν από τη στάνταρτ χημειοθεραπεία και ακτινοθεραπεία μειώνει κατά 35% τον κίνδυνο επανεμφάνισης του καρκίνου του τραχήλου της μήτρας, δείχνει νέα κλινική μελέτη.
«Είναι η μεγαλύτερη βελτίωση στην πορεία αυτής της ασθένειας εδώ και πάνω από 20 χρόνια» σχολίασε σε δελτίο Τύπου η δρ Μέρι ΜακΚόρμακ του University College στο Λονδίνο, επικεφαλής της μελέτης που παρουσιάστηκε στο συνέδριο της Ευρωπαϊκής Εταιρείας Ιατρικής Ογκολογίας.
Ο καρκίνος του τραχήλου της μήτρας εμφανίζεται συχνότερα ως αποτέλεσμα λοίμωξης με τον ιό των ανθρώπινων θηλωμάτων (HPV), σεξουαλικά μεταδιδόμενο νόσημα για το οποίο υπάρχει πλέον εμβόλιο.
Τα κορίτσια εμβολιάζονται σήμερα πριν από την έναρξη της σεξουαλικής δραστηριότητας, όμως οι μεγαλύτερες γυναίκες συνεχίζουν να διατρέχουν κίνδυνο.
«Αξιοθαύμαστα» αποτελέσματα
Η νέα μελέτη δείχνει ότι ο κίνδυνος υποτροπής μειώνεται σημαντικά με τη χορήγηση «εισαγωγικής» χημειοθεραπείας με καρβοπλατίνη και πακλιταξέλη για έξι εβδομάδες πριν ξεκινήσει η στάνταρτ θεραπεία, η οποία περιλαμβάνει ακτινοβολίες σε συνδυασμό με ένα άλλο χημειοθεραπευτικό φάρμακο, τη σισπλατίνη.
Στην κλινική δοκιμή της μελέτης, 500 γυναίκες με καρκίνο του τραχήλου της μήτρας χωρίστηκε σε δύο ομάδες, από τις οποίες η μία έλαβε το νέο κοκτέιλ πριν από τη στάνταρτ θεραπεία, ενώ η δεύτερη υποβλήθηκε μόνο στη στάνταρτ θεραπεία.
Πέντε χρόνια αργότερα, το 80% των γυναικών της πρώτης ομάδας ήταν εν ζωή και ελεύθερο από καρκίνο, συγκριτικά με 64% στην ομάδα ελέγχου.
Ο οργανισμός Cancer Research UK που χρηματοδότησε τη μελέτη χαρακτήρισε τα ευρήματα «αξιοθαύμαστα».
«Όλο και περισσότερες ενδείξεις τεκμηριώνουν την αξία επιπλέον γύρων χημειοθεραπείας πριν από άλλες θεραπείες όπως το χειρουργείο και η ακτινοθεραπεία σε πολλούς άλλους καρκίνους» επισήμανε ο δρ Ίαν Φάουλκς του Cancer Research UK.
«Όχι μόνο μειώνει την πιθανότητα επανεμφάνισης του καρκίνου, αλλά μπορεί επιπλέον να χορηγηθεί γρήγορα με ήδη διαθέσιμα φάρμακα» εξήγησε.
Οι ερευνητές αναγνωρίζουν πάντως ότι το νέο θεραπευτικό σχήμα ίσως δεν προσφέρει τα ίδια οφέλη σε όλες τις ασθενείς, αφού οι γυναίκες της μελέτης βρίσκονταν σε αρχικά στάδια της νόσου και δεν είχαν εμφανίσει μεταστάσεις.
Το νέο κοκτέιλ μπορεί επίσης να προκαλέσει παρενέργειες όπως ναυτία και τριχόπτωση.
- Επιχείρηση «Σούρουπο»: Η Βρετανία θα αναπτύξει νέο βαλλιστικό πύραυλο για την άμυνα της Ουκρανίας
- Σύνταξη: Το ουτοπικό σενάριο του μέλλοντος – Από την εποχή της οικονομικής ανασφάλειας στην αφθονία
- Ιταλία: Φύλακας στο εργοτάξιο των Χειμερινών Ολυμπιακών Αγώνων πέθανε από το κρύο
- Economist: Η Γαλλία παρέλυσε… και φταίνε όλοι
- Νίκολιτς: «Κάναμε πολλά λάθη, ούτε ένας παίκτης δεν είχε την απόδοση που θα έπρεπε»
- Αγρότες: Δύο συναντήσεις Μητσοτάκη, με τους εκπροσώπους των μπλόκων – Διαβουλεύσεις για τα διαδικαστικά
- Η διαιτησία του Σάγκι επιβεβαίωσε ότι ο Λανουά πρέπει να φύγει – Oι ξένοι ρέφερι αλλοιώνουν τη βαθμολογία
- «Οι 20άρες δεν μου λένε τίποτα» – Η on air αντίδραση της Ναταλίας Γερμανού σε μια ατάκα του πατέρα της από το 1995
Ακολουθήστε το in.gr στο Google News και μάθετε πρώτοι όλες τις ειδήσεις






![Άκρως Ζωδιακό: Τα Do’s και Don’ts στα ζώδια σήμερα [Κυριακή 11.01.2026]](https://www.in.gr/wp-content/uploads/2026/01/mika-baumeister-jusdwg_T0dU-unsplash-315x220.jpg)















































![Ράλι στα ακίνητα – Οι ακριβές και φθηνές περιοχές [πίνακες]](https://www.in.gr/wp-content/uploads/2026/01/athina-athens-akinita-realestate-eurokinissi-1-315x220.jpg)
















![O Ιρανός ΥΠΕΞ Αραγκτσί ανήρτησε δολοφονίες αστυνομικών και αναρωτήθηκε αν οι ΗΠΑ θα το ανέχονταν [βίντεο]](https://www.in.gr/wp-content/uploads/2026/01/iran-killed-cop-315x220.jpg)














Αριθμός Πιστοποίησης Μ.Η.Τ.232442