Δεν θα πιστέψετε από τι είναι φτιαγμένοι αυτοί οι πίνακες!
Μια αμερικάνικη εταιρεία αναλαμβάνει να φτιάξει ένα έργο τέχνης χρησιμοποιώντας τμήμα του ομφάλιου λώρου του παιδιού σας!
Από: Ελένη Καραγιάννη
Μια αμερικάνικη εταιρεία αναλαμβάνει να φτιάξει ένα έργο τέχνης χρησιμοποιώντας τμήμα του ομφάλιου λώρου του παιδιού σας!
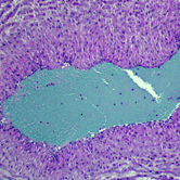
Η ιδέα για τη δημιουργία της εταιρείας Little Cord Art γεννήθηκε όταν οι ιδρυτές της, ο Κιθ και η Στέφανι, περίμεναν το πρώτο τους παιδί το 2009. Σε μια τυπική υπερηχογραφική εξέταση, φάνηκε ότι ο ομφάλιος λώρος είχε δύο αντί για τρία αγγεία –κάτι που συμβαίνει περίπου στο 10% των κυήσεων. Καθώς ο Κιθ είναι γιατρός, θέλησε μετά τη γέννα να ρίξει μια ματιά την ιστολογική εξέταση του λώρου. Και διαπίστωσε ότι η εικόνα που παρουσίαζε ήταν πολύ όμορφη!
Έτσι, αποφάσισαν να φτιάξουν από την εικόνα αυτή ένα πίνακα, τον οποίο κρέμασαν στον τοίχο του παιδικού δωματίου και εντυπωσίαζε όποιον τον έβλεπε όχι μόνο με την ομορφιά αλλά και με την ιστορία του.
Λίγο αργότερα, έκαναν το ίδιο για το δεύτερο παιδί τους, για τα παιδιά κάποιων φίλων και σιγά σιγά η αρχική ιδέα κατέληξε να γίνει εταιρεία που προσφέρει σε όποιον γονιό επιθυμεί την ευκαιρία να κρατήσει ένα πρωτότυπο, μοναδικό όσο και εκκεντρικό ενθύμιο από την εμβρυική ζωή του παιδιού του.
Ποια είναι η διαδικασία;
Αφού ο υποψήφιος πελάτης επικοινωνήσει με την εταιρεία, θα λάβει ένα ειδικό κιτ συλλογής του λώρου το οποίο θα πρέπει να παραδώσει στο προσωπικό του μαιευτηρίου ή το γυναικολόγο πριν τη γέννηση του μωρού. Όταν το μωρό γεννηθεί, ο γιατρός ή η μαία θα πρέπει να κόψει ένα κομμάτι από το λώρο μήκους 2-3 εκατοστών και να το βάλει στο δοχείο που υπάρχει στο κιτ και να το στείλει στην εταιρεία.Το δοχείο περιέχει μια ουσία που θα διατηρήσει την αρχιτεκτονική των κυττάρων του λώρου ώσπου να φτάσει στο εργαστήριο.

Εκεί, θα τοποθετήσουν το κομμάτι του ομφάλιου λώρου θα υποστεί μια μικρή επεξεργασία και θα μπει ανάμεσα σε γυάλινες πλάκες.

Με τη βοήθεια μικροσκοπίου, η εικόνα των κυττάρων του λώρου θα μεγεθυνθεί 400 φορές.

Η εικόνα αυτή θα αποτυπωθεί με τη βοήθεια ψηφιακής κάμερας και θα αποτελέσει την πρώτη ύλη για τη δημιουργία του πίνακα.

Το τελικό στάδιο αφορά το καλλιτεχνικό κομμάτι, καθώς, εστιάζοντας ή απομονώνοντας κομμάτια της εικόνας και δίνοντας την επιθυμητή αντίθεση των χρωμάτων, δημιουργείται ο τελικός πίνακας.

Η εταιρεία δραστηριοποιείται στην Αμερική, αλλά υπάρχει η δυνατότητα εάν κάποιος επιθυμεί να στείλει το κομμάτι του λώρου και να λάβει μια ψηφιακή εικόνα της μεγέθυνσής του, την οποία μπορεί να τυπώσει σε καμβά στη χώρα του.
imommy
- Κείτ Γουίνσλετ: Περπατώντας στο κόκκινο χαλί αγκαλιά με τον γιο της στην πρεμιέρα της ταινίας τους
- Mπαρτσελόνα: Το νέο λούτρινο της μασκότ CAT «εξαφανίστηκε» σε χρόνο-ρεκόρ
- Hellenic Train: Διακόπηκαν τα δρομολόγια στο τμήμα Λάρισα – Λειανοκλάδι λόγω της υπερχείλισης του Ενιπέα
- Πασκουάλ για την Μπαρτσελόνα και το NBA Europe: «Είμαστε στην Euroleague»
- Μαλακάσα: Οδηγός χάνει τον έλεγχο και πέφτει πάνω στις προστατευτικές μπάρες και σε λεωφορείο
- Δολοφονία Καρυώτη: «Μου δώσανε φράγκα για να ομολογήσω» – Το ηχητικό που ανατρέπει την ομολογία στην υπόθεση
- Τσερνόμπιλ: Η προστατευτική κατασκευή δεν μπλοκάρει πλέον τη ραδιενέργεια οκτώ μήνες μετά το πλήγμα
- Κακοκαιρία Byron: Συναγερμός στη Λάρισα – Πλημμύρισαν τα πρώτα σπίτια από την υπερχείλιση του Ενιπέα
Ακολουθήστε το in.gr στο Google News και μάθετε πρώτοι όλες τις ειδήσεις






![Άκρως Ζωδιακό: Τα Do’s και Don’ts στα ζώδια σήμερα [Σάββατο 06.12.2025]](https://www.in.gr/wp-content/uploads/2025/12/pexels-eser-tokas-54876734-25854069-315x220.jpg)
























































Αριθμός Πιστοποίησης Μ.Η.Τ.232442