Τρίτη 07 Απριλίου 2026
weather-icon 21o
Μυελοδυσπλαστικά Σύνδρομα: Παθοφυσιολογία, διάγνωση και θεραπευτικές προσεγγίσεις

Μυελοδυσπλαστικά Σύνδρομα: Παθοφυσιολογία, διάγνωση και θεραπευτικές προσεγγίσεις

Γράφει η ιατρός Παυλίνα Μαρινάκη, MD, PhD Ειδικός Αιματολόγος

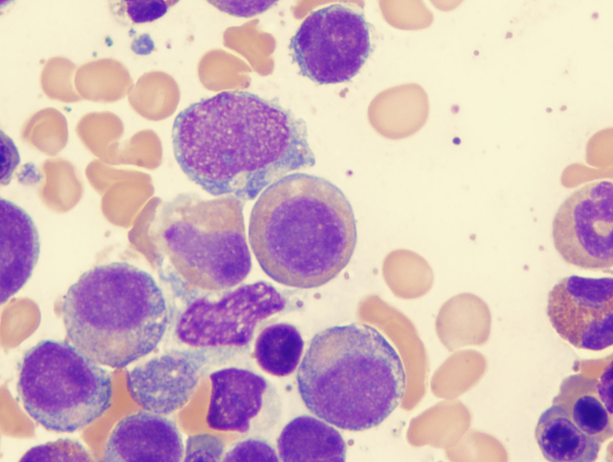
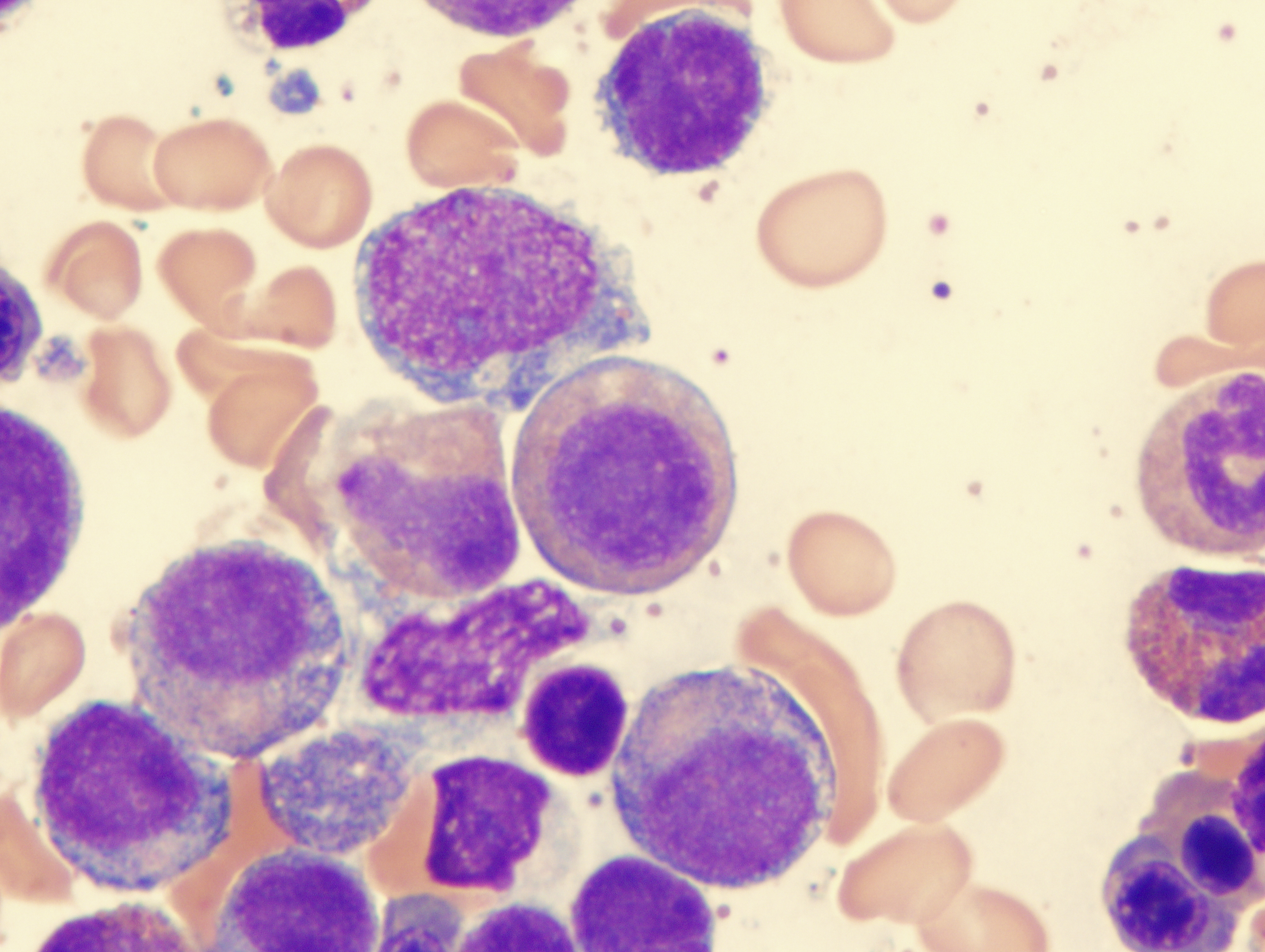
Τα μυελοδυσπλαστικά σύνδρομα είναι μια ετερογενής ομάδα ασθενειών του αίματος, όπου ο μυελός των οστών, δηλαδή το εργοστάσιο παραγωγής των κυττάρων του αίματος στον οργανισμό, παρουσιάζει ανεπαρκή λειτουργία. Υπό φυσιολογικές συνθήκες, ο υγιής μυελός των οστών παράγει ανώριμα βλαστικά κύτταρα, τα οποία εξελίσσονται σε ώριμα, πλήρως λειτουργικά ερυθρά αιμοσφαίρια, λευκά αιμοσφαίρια και αιμοπετάλια. Στα μυελοδυσπλαστικά σύνδρομα τα βλαστικά κύτταρα είτε δεν ωριμάζουν και συσσωρεύονται στο μυελό των οστών, είτε έχουν μειωμένη διάρκεια ζωής, με αποτέλεσμα στην κυκλοφορία του αίματος να υπάρχουν λιγότερα ώριμα κύτταρα από το φυσιολογικό.

Το γεγονός αυτό μπορεί να προκαλέσει ποικίλα συμπτώματα, όπως έλλειψη ερυθρών αιμοσφαιρίων ή αναιμία, εύκολη κόπωση, δύσπνοια κατά την προσπάθεια και ωχρότητα. Η έλλειψη λευκών αιμοσφαιρίων ή λευκοπενία προκαλεί ελάττωση της άμυνας του οργανισμού σε μολυσματικούς παράγοντες, με αποτέλεσμα συχνές λοιμώξεις και πυρετό. Η έλλειψη αιμοπεταλίων ή θρομβοπενία προκαλεί αιμορραγική διάθεση, η οποία μπορεί να εκδηλωθεί στο δέρμα με μελανιές, καθώς και στους βλεννογόνους με  αιμορραγίες (ούλα, μύτη κλπ).

Τα μυελοδυσπλαστικά σύνδρομα είναι νοσήματα της μεγάλης ηλικίας, καθώς οι περισσότεροι ασθενείς είναι άνω των 60 ετών κατά τη διάγνωση, χωρίς ωστόσο να αποκλείεται η εμφάνισή τους και σε νεότερες ηλικίες, ακόμα και στην παιδική. Η διάγνωση της νόσου γίνεται με παρακέντηση του μυελού των οστών. Σήμερα  στο δείγμα αυτό του μυελού, εκτός από την παραδοσιακή μικροσκοπική εξέταση από Αιματολόγο και Παθολογοανατόμο, γίνονται επιπλέον πολύ εξειδικευμένες χρωμοσωμικές (καρυοτυπικές) και μοριακές εξετάσεις, που έχουν να κάνουν τόσο με τη διάγνωση, όσο και με την πρόβλεψη της περαιτέρω εξέλιξης της νόσου.

Η κλινική εικόνα κατά τη διάγνωση διαφέρει σημαντικά από ασθενή σε ασθενή. Υπάρχουν ασθενείς που είναι ασυμπτωματικοί και διαγιγνώσκονται λόγω μίας διαταραχής σε μία γενική εξέταση αίματος που έγινε τυχαία στα πλαίσια ενός προληπτικού ελέγχου, ενώ άλλοι υποβάλλονται σε εξετάσεις λόγω συμπτωμάτων εύκολης κόπωσης, καχεξίας, συχνών λοιμώξεων ή αιμορραγικής διάθεσης. Θα πρέπει να σημειωθεί ότι η ανεπαρκής λειτουργία του μυελού των οστών κατά κανόνα επιδεινώνεται με την πάροδο του χρόνου, με αποτέλεσμα να επιδεινώνεται και η κλινική εικόνα των ασθενών. Σε ένα ποσοστό 20-30% των ασθενών η νόσος εξελίσσεται σε οξεία μυελοβλαστική λευχαιμία. Με βάση τα χαρακτηριστικά της νόσου κατά την εξέταση του μυελού (μορφολογικά, καρυοτυπικά, μοριακά), γίνεται η ταξινόμηση σε υποκατηγορίες, που διαφέρουν σημαντικά μεταξύ τους σε ότι αφορά την κλινική εικόνα, το είδος της θεραπευτικής προσέγγισης και την περαιτέρω εξέλιξη.

Λόγω αυτής της ευρείας γκάμας συμπτωμάτων και κλινικής πορείας, η αντιμετώπιση μπορεί επίσης να ποικίλλει ευρέως: υπάρχουν ασθενείς που βρίσκονται απλά σε παρακολούθηση χωρίς θεραπεία επί χρόνια και άλλοι που υποβάλλονται σε μεταγγίσεις αίματος, χημειοθεραπεία ή ακόμα και μεταμόσχευση μυελού των οστών. Η επιλογή της κατάλληλης θεραπείας βασίζεται στην ηλικία και τη γενική κατάσταση υγείας του ασθενούς, καθώς και στον τύπο και την επιθετικότητα του νοσήματος.

Παυλίνα Μαρινάκη, MD, PhD Ειδικός Αιματολόγος

Σε χαμηλού κινδύνου μυελοδυσπλαστικά σύνδρομα και σε μεγάλης ηλικίας ασθενείς (η ομάδα αυτή περιλαμβάνει τους περισσότερους ασθενείς) η θεραπεία είναι υποστηρικτική και συνίσταται στη χορήγηση των λεγόμενων αυξητικών παραγόντων, δηλαδή φαρμάκων που προάγουν την μεγαλύτερη και αποδοτικότερη παραγωγή στοιχείων αίματος από το μυελό των οστών. Επειδή το συχνότερο πρόβλημα των ασθενών είναι η αναιμία και η ανάγκη μεταγγίσεων, τα πλέον συνηθισμένα φάρμακα της κατηγορίας αυτής είναι τα φάρμακα που αυξάνουν την παραγωγή ερυθρών αιμοσφαιρίων, με στόχο την απαλλαγή των ασθενών από μεταγγίσεις: εδώ ανήκουν οι κλασσικές ερυθροποιητίνες, με απάντηση σε ένα ποσοστό 35% ασθενών για περίπου 1.5-2 έτη. Τα τελευταία χρόνια ένα νεότερο φάρμακο, η λουσπατερσέπτη, έρχεται να αντικαταστήσει τις κλασσικές ερυθροποιητίνες, διπλασιάζοντας σχεδόν το ποσοστό των ασθενών που απαλλάσσονται από μεταγγίσεις και αυξάνοντας σημαντικά τη διάρκεια της ανταπόκρισης στη θεραπεία. Το φάρμακο αυτό αποτελεί πλέον τη θεραπεία επιλογής για τους ασθενείς με χαμηλού βαθμού μυελοδυσπλαστικά σύνδρομα, αναιμία και ανάγκη μεταγγίσεων.

Ασθενείς που παρουσιάζουν λοιμώξεις λαμβάνουν αντιβιοτικά, είτε θεραπευτικά είτε προληπτικά, ενώ οι εμβολιασμοί επίσης συνιστώνται για την πρόληψη των λοιμώξεων. Οι μεταγγίσεις ερυθρών και αιμοπεταλίων είναι επίσης μια συνήθης θεραπευτική προσέγγιση σε αυτούς τους ασθενείς. Ανοσοτροποποιητικά φάρμακα, όπως η λεναλιδομίδη και υπομεθυλιωτικοί παράγοντες όπως η αζακυτιδίνη, μπορούν να επηρεάσουν την εξέλιξη της νόσου και να βελτιώσουν την κλινική εικόνα ασθενών με ειδικά κλινικά χαρακτηριστικά.

Τέλος, ασθενείς με πιο επιθετικές μορφές της νόσου υποβάλλονται σε χημειοθεραπεία ή και σε αλλογενή μεταμόσχευση μυελού των οστών, η οποία αποτελεί τη μόνη θεραπευτική προσέγγιση που στοχεύει στην πλήρη απαλλαγή από τη νόσο.

Ακολουθήστε το in.gr στο Google News και μάθετε πρώτοι όλες τις ειδήσεις

in.gr | Ταυτότητα

Διαχειριστής - Διευθυντής: Λευτέρης Θ. Χαραλαμπόπουλος

Διευθύντρια Σύνταξης: Αργυρώ Τσατσούλη

Ιδιοκτησία - Δικαιούχος domain name: ALTER EGO MEDIA A.E.

Νόμιμος Εκπρόσωπος: Ιωάννης Βρέντζος

Έδρα - Γραφεία: Λεωφόρος Συγγρού αρ 340, Καλλιθέα, ΤΚ 17673

ΑΦΜ: 800745939, ΔΟΥ: ΚΕΦΟΔΕ ΑΤΤΙΚΗΣ

Ηλεκτρονική διεύθυνση Επικοινωνίας: in@alteregomedia.org, Τηλ. Επικοινωνίας: 2107547007

ΜΗΤ Αριθμός Πιστοποίησης Μ.Η.Τ.232442

Τρίτη 07 Απριλίου 2026
Απόρρητο