Τι μπορούμε να πάθουμε με έναν τραυματισμό δοντιού
Πολλά είναι τα αίτια που μπορούν να προκαλέσουν τραυματισμούς των δοντιών
Ο τραυματισμός ενός ή περισσοτέρων μονίμων ή νεογιλών δοντιών συμβαίνει συχνά σε παιδιά και εφήβους. Το 71-92% των οδοντικών τραυματισμών συμβαίνουν πριν τα 19 χρόνια.
Ενώ τα παιδιά ηλικίας 6 ετών έχουν υποστεί τραυματισμό των νεογιλών δοντιών σε ποσοστό 20-40%.
Andreasen J.O, Andreasen F.M and L. Andersson. : Textbook and color atlas of traumatic injuries to the teeth , ed.4, Munksgaard. Copenhagen , Mosby, 2007. https://www.jendodon.com/article/S0099-2399(07)00750-9/pdf
Πολλά είναι τα αίτια που μπορούν να προκαλέσουν τραυματισμούς των δοντιών. Στην πλειονότητα τους προέρχονται από πτώσεις μέσα ή έξω από το σπίτι σε παιδιά μικρής ηλικίας και αθλητικές δραστηριότητες τροχαία ή εργατικά ατυχήματα, βιαιοπραγίες σχολικοί καυγάδες σε μεγαλύτερα παιδιά.
Αποτέλεσμα ενός τραυματισμού μπορεί να είναι η απώλεια ενός δοντιού
Εάν το δόντι που βγήκε είναι νεογιλό (παιδικό) δεν επανατοποθετείται στο στόμα αφού υπάρχει κίνδυνος βλάβης στο σπέρμα του μόνιμου. Πρέπει άμεσα να ελεγχθεί για τυχόν υπολείμματα ρίζας, για την έκταση του τραύματος και να δοθούν οι κατάλληλες οδοντιατρικές οδηγίες. Επίσης να διατηρηθεί ο χώρος ώστε να μπορέσει να ανατείλει φυσιολογικά το μόνιμο δόντι.
Εάν το δόντι που βγήκε είναι μόνιμο είναι σημαντικό να βρεθεί όσο πιο σύντομα γίνεται και να πάει το παιδί στον οδοντίατρο.
Οι γονείς πρέπει να ξεπλύνουν το δόντι με κρύο τρεχούμενο νερό λίγα δευτερόλεπτα ,χωρίς να αγγίξουν την ρίζα του. .Αν το παιδί είναι μεγάλο και δεν υπάρχει ο κίνδυνος κατάποσης, τότε το δόντι τοποθετείται στο στόμα του ασθενή κάτω από την γλώσσα .Στην περίπτωση που αυτό δεν είναι εφικτό τοποθετείται σε κρύο γάλα αν υπάρχει, διαφορετικά σε ένα μικρό δοχείο με σάλιο του ασθενή.
Ο οδοντίατρος θα τοποθετήσει ξανά το δόντι στην θέση του θα το ακινητοποιήσει ,θα δώσει την κατάλληλη θεραπεία και θα το παρακολουθεί σε τακτά χρονικά διαστήματα, Γιατί το δόντι είτε άμεσα μετά τον τραυματισμό είτε μετά από αρκετό χρονικό διάστημα μπορεί να νεκρωθεί. Η νέκρωση μπορεί να είναι ασυμπτωματική ή να συνοδεύεται από έντονο πόνο, απόστημα ή δημιουργία ακρορριζικής κύστης.
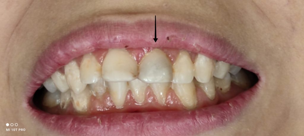
Έτσι μετά από έναν τραυματισμό δοντιού και χωρίς να πονά ο ασθενής είναι πιθανόν μετά από χρόνια να μαυρίσει το δόντι.

Δυστυχώς το χρονικό διάστημα μετά το οποίο μπορεί να συμβεί η νέκρωση του δοντιού δεν μπορούμε να το γνωρίζουμε. Στην περίπτωση αυτή το δόντι χρειάζεται ενδοδοντική θεραπεία (απονεύρωση).
Σε άλλες περιπτώσεις τραυματισμών μπορεί απλά το δόντι να παρουσιάζει ευαισθησία στη μάσηση. Είναι μια κατάσταση πολύ ήπια και δεν απαιτείται ειδική αντιμετώπιση παρά μόνο παρακολούθηση από τον οδοντίατρο.
Επίσης μπορεί να έχουν δημιουργηθεί μικρές ρωγμές της αδαμαντίνης. Πολύ συχνές βλάβες, η οποίες όμως πολλές φορές δεν είναι ορατές δεν απαιτούν ειδική αντιμετώπιση πρέπει όμως να αξιολογούνται άμεσα από οδοντίατρο.

Το 1/3 περίπου του συνόλου των περιπτώσεων οδοντικού τραύματος είναι το κάταγμα της μύλης. Όταν το κάταγμα είναι επιφανειακό δεν υπάρχουν συμπτώματα και το μόνο πρόβλημα που υπάρχει είναι το αισθητικό. Όταν όμως η βλάβη επεκτείνεται και στον πολφό (νεύρο) τότε υπάρχει έντονος πόνος με κίνδυνο τη νέκρωσή του.
Πιο σοβαρά είναι τα τραύματα όταν έχουμε κινητικότητα ή μετακίνηση του δοντιού σε πλάγια θέση ή κάθετη θέση δηλαδή εμβύθιση του δοντιού (σε αυτή την περίπτωση το δόντι φαίνεται πιο κοντό. Ο οδοντίατρος θα επαναφέρει το δόντι στη θέση του και θα το σταθεροποιήσει .
Η Εύη Βέρρη είναι Χειρουργός οδοντίατρος
- Γιώργος Λαζάνης: Ο δίκαιος και ο άδικος λόγος
- Παγωνιά και… πλαστικό: Αυτά θα συναντήσει ο Ολυμπιακός στο Καζακστάν κόντρα στην Καϊράτ
- «Ψυχοσεξουαλικό ποπ θρίλερ» – Η Αν Χάθαγουεϊ και η Μικαέλα Κόελ αναμετρώνται στο πρώτο τρέιλερ της επικής ταινίας Mother Mary
- «Μια νύχτα μόνο» στο MEGA: Τι θα δούμε στα επόμενα συγκλονιστικά επεισόδια
- Αυστρία: Ορειβάτης άφησε την σύντροφό του «να παγώσει μέχρι θανάτου» σε κορυφή βουνού
- Brain drain στην Apple – Δεκάδες στελέχη αυτομολούν στους ανταγωνιστές
- ΠΑΟΚ και Ολυμπιακός «μάχονται» για τον τίτλο του League Cup
- Δήμος Νίκαιας-Αγ.Ι.Ρέντη: Ο μεγάλος όγκος των υδάτων υπερέβη προσωρινά τις δυνατότητες των υποδομών
Ακολουθήστε το in.gr στο Google News και μάθετε πρώτοι όλες τις ειδήσεις






![Άκρως Ζωδιακό: Τα Do’s και Don’ts στα ζώδια σήμερα [Παρασκευή 05.12.2025]](https://www.in.gr/wp-content/uploads/2025/12/pexels-kammeran-gonzalez-keola-3137381-9559884-315x220.jpg)



























































Αριθμός Πιστοποίησης Μ.Η.Τ.232442