Γιατροί «αποσύνδεσαν» τον μισό εγκέφαλο 6χρονης – Πάσχει από εγκεφαλίτιδα του Rasmussen
Τον μισό εγκέφαλο ενός 6χρονου κοριτσιού, αποσύνδεσαν οι γιατροί στην Καλιφόρνια, ως πιθανή θεραπεία σε μια σπάνια εγκεφαλική ασθένεια.
Γιατροί αποσύνδεσαν τον μισό εγκέφαλο ενός 6χρονου κοριτσιού από την Καλιφόρνια, το οποίο έπασχε από μια απίστευτα σπάνια ασθένεια.
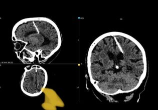
Η μικρή Brianna Bodley, υποβλήθηκε πρόσφατα σε μια δεκάωρη χειρουργική επέμβαση στο Loma Linda University Health για να θεραπεύσει την εγκεφαλίτιδα του Rasmussen – που επηρεάζει 500 παιδιά στις Ηνωμένες Πολιτείες κάθε χρόνο.
Η Brianna αντιμετώπιζε καθημερινές κρίσεις, παράλυση και μαθησιακές δυσκολίες πριν πάρει αντισπασμωδικά φάρμακα και στεροειδή.
Έτσι, αντί οι γιατροί να αφαιρέσουν μέρος του εγκεφάλου της, όπως συνήθιζαν να κάνουν, ο παιδονευροχειρουργός Aaron Robison, του Loma Linda University Health, δήλωσε ότι η διακοπή της λειτουργίας του μισού εγκεφάλου της ήταν η πιο αποτελεσματική μέθοδος.
«Μόνο η αποσύνδεσή του είναι αρκετή για να σταματήσει εντελώς η ασθένεια και ουσιαστικά, ενδεχομένως να τη θεραπεύσει», δήλωσε χαρακτηριστικά.
Διαγνώστηκε πριν ένα χρόνο
Η 6χρονη διαγνώστηκε με την ασθένεια αυτή πέρυσι, με αποτέλεσμα το κορίτσι που συνήθιζε να τραγουδά, να χορεύει και να διαβάζει, να υποφέρει καθημερινά.
«Το πόδι της λύγιζε συνέχεια και δυσκολευόταν να περπατήσει», δήλωσε η μητέρα του κοριτσιού Κρίσταλ Μπόντλεϊ. Όταν άρχισε να παίρνει φάρμακα κατά των σπασμών και στεροειδή, πήρε γρήγορα βάρος και συνέχισε να αντιμετωπίζει την εξελισσόμενη ασθένεια.
Οι γιατροί έκριναν ότι μόνο με τη διακοπή λειτουργίας του μισού εγκεφάλου της θα μπορέσει να κρατηθεί στη ζωή η 6χρονη Brianna
Οι γιατροί λοιπόν αποφάσισαν να απενεργοποιήσουν το μη λειτουργικό τμήμα του εγκεφάλου της, περνώντας από το φυσικό άνοιγμα του εγκεφάλου που ονομάζεται Sylvian fissure, δήλωσε ο Aaron Robison.
Ουσιαστικά ο Robison αποσύνδεσε την αριστερή πλευρά του εγκεφάλου της Brianna, η οποία επιτρέπει στη δεξιά πλευρά να πάρει τον έλεγχο και να ανακτήσει τη λειτουργικότητα του σώματος.
Οι γιατροί είπαν ότι το κορίτσι μπορεί να χάσει κάποια περιφερειακή όραση και κάποιες λεπτές κινητικές δεξιότητες στο αριστερό της χέρι, αλλά η φυσικοθεραπεία θα το βοηθήσει να γίνει ξανά ένα τυπικό 6χρονο παιδί.

Ήταν η καλύτερη δυνατή έκβαση για το παιδί, το οποίο έχει ήδη σταθεί στα πόδια του λίγες μέρες μετά την περίπλοκη επέμβαση όπως αναφέρει η Daily Mail.
Σε φωτογραφίες και βίντεο που δημοσιεύτηκαν στο Facebook , η Brianna φαίνεται να τρώει πουρέ πατάτας στο κρεβάτι της στο νοσοκομείο και να περπατά με τη βοήθεια της μαμάς της.
«Το κοριτσάκι μας αρχίζει να περπατάει με υποστήριξη», έγραψε η μητέρα της 6χρονης. «Κοιμάται ακόμα το μεγαλύτερο μέρος της ημέρας, αλλά δεν χάνει καθόλου χρόνο όταν είναι ξύπνια».
«Η Brianna Bodley θα εξακολουθεί να είναι το ίδιο άτομο, ακόμη και μετά την αποσύνδεση του μισού εγκεφάλου της», δήλωσε ο γιατρός, σύμφωνα με τον τοπικό σταθμό.
- Βουλγαρία: Πιθανή η προκήρυξη πρόωρων εκλογών – Οι όγδοες μέσα σε τέσσερα χρόνια
- ΣΥΡΙΖΑ για συνάντηση «προθύμων»: Ο Λέγγας μπήκε συνδικαλιστής και βγήκε στέλεχος της ΝΔ
- Επίσκεψη του Πρέσβη της Κίνας στον Δήμαρχο Σπάρτης
- Όσα σκέφτεται ο Τσάμπι Αλόνσο, αλλά δεν θα πει ποτέ δημόσια
- Δημήτρης Μητσιώνης: Πέθανε ο σκηνοθέτης της ΕΡΤ, σε ηλικία 49 χρόνων
- Αττική: Συνελήφθη 38χρονος Τούρκος καταζητούμενος από την Interpol για ανθρωποκτονία
- Οι πρώτες δηλώσεις του Κάρικ: «Αντιλαμβάνομαι ότι είναι μεγάλη ευθύνη – Υψηλά τα στάνταρ στη Γιουνάιτεντ»
- Σεξουαλική κακοποίηση ανηλίκων – Η Μελίσα Γκίλμπερτ στηρίζει τον σύζυγό της Τίμοθι Μπάσφιλντ μετά την παράδοσή του στις αρχές
Ακολουθήστε το in.gr στο Google News και μάθετε πρώτοι όλες τις ειδήσεις






![Άκρως Ζωδιακό: Τα Do’s και Don’ts στα ζώδια σήμερα [Τετάρτη 14.01.2026]](https://www.in.gr/wp-content/uploads/2026/01/tianhao-wang-aME_eAFPU2A-unsplash-1-315x220.jpg)







































































Αριθμός Πιστοποίησης Μ.Η.Τ.232442