Υπολογιστικό σύστημα μπορεί να διαγνώσει την κατάθλιψη
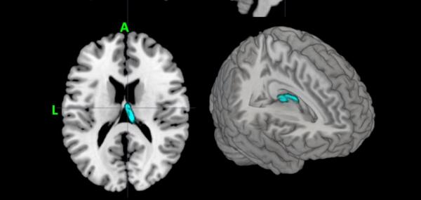
Αμερικανοί επιστήμονες ανέπτυξαν ένα νέο υπολογιστικό σύστημα που είναι ικανό να διαγνώσει τη μείζονα κατάθλιψη, σύμφωνα με στοιχεία που δημοσίευσαν στο επιστημονικό έντυπο Psychiatry Research - Neuroimaging.




Αριθμός Πιστοποίησης Μ.Η.Τ.232442