Πέμπτη 23 Απριλίου 2026
weather-icon 14o
Ο εγκέφαλος πάλλεται με κάθε χτύπο της καρδιάς σε θεαματικό βίντεο

Ο εγκέφαλος πάλλεται με κάθε χτύπο της καρδιάς σε θεαματικό βίντεο

Η απότομη αύξηση της πίεσης του αίματος με κάθε καρδιακό παλμό αναγκάζει τον εγκέφαλο να πάλλεται αιωρούμενος μέσα στο εγκεφαλονωτιαίο υγρό.

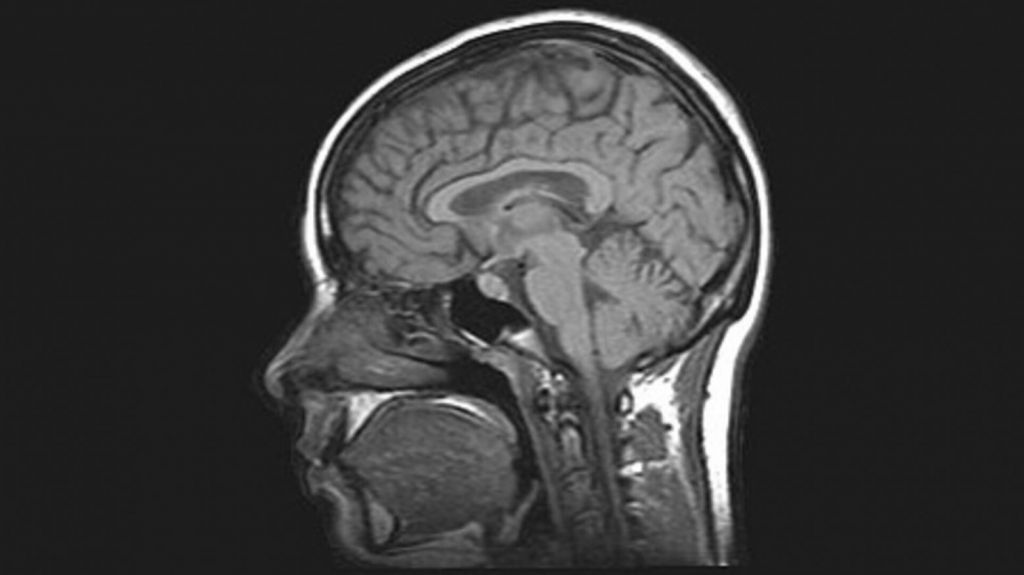
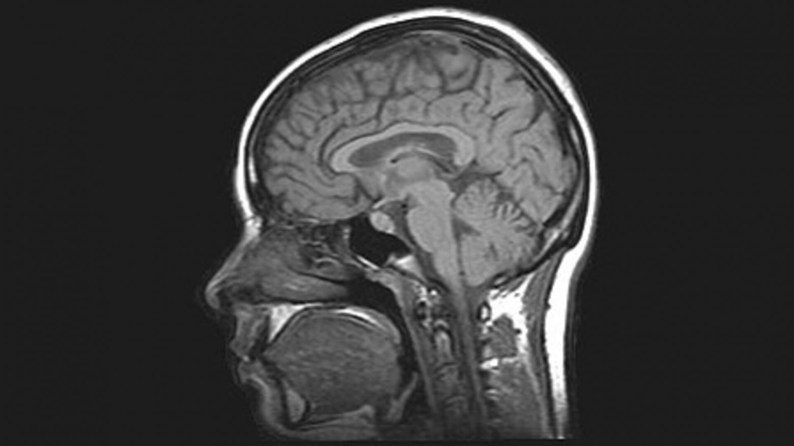
Μια νέα παραλλαγή της μαγνητικής τομογραφίας, ικανή να παρακολουθεί τους ιστούς σε τρεις διαστάσεις και σε πραγματικό χρόνο, αποκαλύπτει πώς ο εγκέφαλος πηγαινοέρχεται μέσα στο κρανίο με κάθε σφυγμό.

Η απότομη αύξηση της πίεσης του αίματος με κάθε καρδιακό παλμό αναγκάζει τον εγκέφαλο να πάλλεται αιωρούμενος μέσα στο εγκεφαλονωτιαίο υγρό που προστατεύει το κεντρικό νευρικό σύστημα.

YouTube thumbnail

Τα βίντεο που παρουσίασαν ερευνητές στις ΗΠΑ παρουσιάζουν τις κινήσεις του εγκεφάλου πιο έντονες από ό,τι πραγματικά είναι ώστε να γίνονται καλύτερα ορατές. Στην πραγματικότητα, η μετατόπιση κυμαίνεται από τα 0,05 έως τα 0,4 χιλιοστά, αναφέρουν οι ερευνητές σε ανακοίνωσή τους.

Η νέα μέθοδος ονομάστηκε «ενισχυμένη μαγνητική τομογραφία τριών διαστάσεων (3D aMRI) ακριβώς επειδή «ενισχύει», ή μεγεθύνει, τις κινήσεις των ιστών.

Οι τεχνικές λεπτομέρειες της μεθόδου παρουσιάζονται σε δύο δημοσιεύσεις στις επιθεωρήσεις Brain Multiphysics και Magnetic Resonance in Medicine.

YouTube thumbnail

Η κλαστική μαγνητική τομογραφία δίνει εικόνες δύο διαστάσεων, ωστόσο η ερευνητική ομάδα στο Πανεπιστήμιο Στάνφορντ, την Κλινική «Όρος Σινάι» και άλλα αμερικανικά ιδρύματα μπόρεσε να συνδυάσει αλλεπάλληλες λήψεις, τραβηγμένες από διαφορετική οπτική γωνία, για να δημιουργήσουν βίντεο τριών διαστάσεων.

Ήδη οι ερευνητές χρησιμοποιούν την τεχνική 3D αMRI για τη μελέτη της διάσεισης και της υδροκεφαλίας, ενώ ελπίζουν να την αξιοποιήσουν στο μέλλον για τη μέτρηση της ενδοκρανιακής πίεσης, η οποία για να μετρηθεί απαιτεί σήμερα τη δημιουργία μιας οπής στο κρανίο.

Ακολουθήστε το in.gr στο Google News και μάθετε πρώτοι όλες τις ειδήσεις

in.gr | Ταυτότητα

Διαχειριστής - Διευθυντής: Λευτέρης Θ. Χαραλαμπόπουλος

Διευθύντρια Σύνταξης: Αργυρώ Τσατσούλη

Ιδιοκτησία - Δικαιούχος domain name: ALTER EGO MEDIA A.E.

Νόμιμος Εκπρόσωπος: Ιωάννης Βρέντζος

Έδρα - Γραφεία: Λεωφόρος Συγγρού αρ 340, Καλλιθέα, ΤΚ 17673

ΑΦΜ: 800745939, ΔΟΥ: ΚΕΦΟΔΕ ΑΤΤΙΚΗΣ

Ηλεκτρονική διεύθυνση Επικοινωνίας: in@alteregomedia.org, Τηλ. Επικοινωνίας: 2107547007

ΜΗΤ Αριθμός Πιστοποίησης Μ.Η.Τ.232442

Πέμπτη 23 Απριλίου 2026
Cookies