Καθυστερημένη εγκεφαλική ανάπτυξη εντοπίζεται στα παιδιά με σύνδρομο ελλειμματικής προσοχής και υπερκινητικότητας
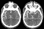
Τα παιδιά που πάσχουν από σύνδρομο ελλειμματικής προσοχής και υπερκινητικότητας βιώνουν μια αναπτυξιακή καθυστέρηση σε περιοχές του εγκεφάλου που είναι σημαντικές για τον έλεγχο των ενεργειών και την προσοχή, δείχνει νέα αμερικανική μελέτη που δημοσιεύθηκε στο επιστημονικό έντυπο Biological Psychiatry.




Αριθμός Πιστοποίησης Μ.Η.Τ.232442