Τετάρτη 27 Μαϊου 2026
weather-icon 23o
Άνοια: Νέα εξέταση ίσως προβλέπει την ασθένεια έως και 9 χρόνια πριν τη διάγνωση

Άνοια: Νέα εξέταση ίσως προβλέπει την ασθένεια έως και 9 χρόνια πριν τη διάγνωση

Βρετανοί ερευνητές εφάρμοσαν μια παραλλαγή της μαγνητικής τομογραφίας για να εξετάσουν μια περιοχή του εγκεφάλου που πλήττεται πρώτη από την άνοια.

Ανακαλύψτε περισσότερα άρθρα στα αποτελέσματα αναζήτησης

Προσθήκη του in.gr στην Google

Ένα βήμα πιο κοντά φαίνεται ότι βρίσκεται η ιατρική στην ανάπτυξη εξετάσεων που προβλέπουν την εμφάνιση Αλτσχάιμερ ή άλλων μορφών άνοιας.

Μια νέα μέθοδος που βασίζεται στην μαγνητική τομογραφία προβλέπει την άνοια έως και εννέα χρόνια πριν από τη διάγνωση, αναφέρουν ερευνητές από το Πανεπιστήμιο Queen Mary του Λονδινου.

Όπως υποστηρίζουν, η νέα προσέγγιση υπερτερεί σε σχέση με τα τεστ μνήμης και τις μετρήσεις της συρρίκνωσης του εγκεφάλου, δύο μεθόδους που εφαρμόζονται σήμερα για τη διάγνωση της άνοιας.

Η μελέτη βασίστηκε στην τεχνική της λειτουργικής μαγνητικής τομογραφίας, ή fMRI, μια παραλλαγή της μαγνητικής τομογραφίας που παρακολουθεί την εγκεφαλική δραστηριότητα μετρώντας τη ροή οξυγόνου στον εγκέφαλο.

«To fMRI είναι ένα μη επεμβατικό εργαλείο ιατρικής απεικόνισης. Χρειάζονται περίπου έξι λεπτά για να συλλεχθούν τα απαραίτητα δεδομένα σε έναν μαγνητικό τομογράφο, οπότε μπορεί να προστεθεί στις υπάρχουσες διαγνωστικές διαδικασίες» δήλωσε σε δελτίο Τύπου ο Σάμιουελ Ερέιρα, επικεφαλής της μελέτης που δημοσιεύεται στην επιθεώρηση Nature Mental Health.

Στον τομογράφο

Η ομάδα του Ερέιρα χρησιμοποίησε τομογραφίες fMRI από περίπου 1.100 εθελοντές του UK Biobank, μια μεγάλη βρετανική βάση δεδομένων που περιέχει γενετικά δεδομένα και ιατρικούς φακέλους για μισό εκατομμύρια άτομα.

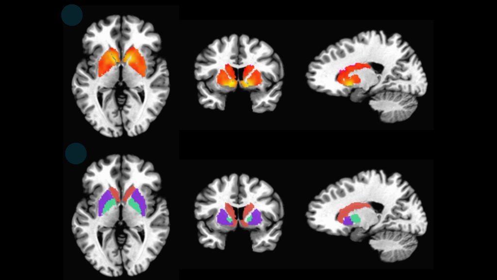
Οι ερευνητές εστίασαν στο «δίκτυο βασικής κατάστασης» (DMN, Default Mode Network), ένα δίκτυο του εγκεφάλου που πλήττεται πρώτο από την Αλτσχάιμερ. Το DMN είναι υπεύθυνο για τις σκέψεις που παράγονται όταν δεν κάνουμε τίποτα και επιπλέον συνδέει διαφορετικές περιοχές του εγκεφάλου που αναλαμβάνουν συγκεκριμένες γνωστικές λειτουργίες.

Με βάσει τις αναλύσεις η ερευνητική ομάδα εκτίμησε την πιθανότητα που αντιμετώπιζε κάθε εθελοντής να εμφανίσει άνοια. Όταν οι προβλέψεις αυτές συγκρίθηκαν με τους ιατρικούς φακέλων των ασθενών διαπιστώθηκε ότι το μοντέλο είχε προβλέψει την εμφάνιση άνοιας έως και εννέα χρόνια πριν από τη διάγνωση με ακρίβεια άνω του 80%.

Στις περιπτώσεις εθελοντών που πράγματι εμφάνισαν άνοια, το μοντέλο μπορούσε να προβλέπει με περιθώριο σφάλματος δύο ετών πόσος χρόνος θα περνούσε μέχρι να γίνει διάγνωση.

Ακόμα, η μελέτη εξέτασε ποιοι παράγοντες κινδύνου άνοιας μπορεί να επηρεάζουν το DMN. Τα γονίδια που προδιαθέτουν για Αλτσχάιμερ και η κοινωνική απομόνωση βρέθηκαν να παίζουν ρόλο.

Μελλοντικές θεραπείες

Η νέα μέθοδος, λέει η ερευνητική ομάδα, θα επέτρεπε θεωρητικά την αναγνώριση των ανθρώπων που διατρέχουν μεγάλο κίνδυνο ώστε να τους χορηγηθούν θεραπείες, όπως τα νέα φάρμακα που έχουν εγκριθεί στις ΗΠΑ για την απομάκρυνση μιας παθολογικής πρωτεΐνης που συνδέεται με την Αλτσχάιμερ, το λεγόμενο βήτα αμυλοειδές.

«Η δυνατότητα πρόβλεψης του ποιος θα εμφανίσει άνοια στο μέλλον θα έχει ζωτική σημασία για την ανάπτυξη θεραπειών» δήλωσε ο Τσαρλς Μάρσαλ, τελευταίος συγγραφέας της μελέτης.

«Αν και γινόμαστε καλύτεροι στο να ανιχνεύουμε τις πρωτεΐνες του εγκεφάλου που μπορεί να προκαλούν Αλτσχάιμερ, πολλοί άνθρωποι ζουν για δεκαετίες με αυτές τις πρωτεΐνες στον εγκέφαλο χωρίς να εμφανίζουν συμπτώματα άνοιας».

«Ελπίζουμε ότι το μέτρο εγκεφαλικής λειτουργίας που αναπτύξαμε θα μας επιτρέψει να προβλέπουμε με μεγαλύτερη ακρίβεια ποιος θα εκδηλώσει άνοια και πότε».

Η νέα μέθοδος έρχεται να προστεθεί σε πρόσφατη μελέτη για ένα αιματολογικό τεστ που μετράει τα επίπεδα τεσσάρων πρωτεϊνών στο αίμα προβλέπει την εμφάνιση άνοιας έως και 15 χρόνια πριν εκδηλωθούν συμπτώματα.

Για την εφαρμογή των νέων τεστ στην κλινική πράξη απαιτούνται πάντως περαιτέρω μελέτες που μπορεί να διαρκέσουν χρόνια.

Σχόλια
Γράψτε το σχόλιό σας
0 /50
0 /2000

Ακολουθήστε το in.gr στο Google News και μάθετε πρώτοι όλες τις ειδήσεις

Προσθήκη του in.gr στην Google

in.gr | Ταυτότητα

Διαχειριστής - Διευθυντής: Λευτέρης Θ. Χαραλαμπόπουλος

Διευθύντρια Σύνταξης: Αργυρώ Τσατσούλη

Ιδιοκτησία - Δικαιούχος domain name: ALTER EGO MEDIA A.E.

Νόμιμος Εκπρόσωπος: Ιωάννης Βρέντζος

Έδρα - Γραφεία: Λεωφόρος Συγγρού αρ 340, Καλλιθέα, ΤΚ 17673

ΑΦΜ: 800745939, ΔΟΥ: ΚΕΦΟΔΕ ΑΤΤΙΚΗΣ

Ηλεκτρονική διεύθυνση Επικοινωνίας: in@alteregomedia.org, Τηλ. Επικοινωνίας: 2107547007

ΜΗΤ Αριθμός Πιστοποίησης Μ.Η.Τ.232442

Τετάρτη 27 Μαϊου 2026
Cookies