Κοροναϊός – Μελέτη βλέπει εγκεφαλικές βλάβες στο 1% των ασθενών που χρειάζονται νοσηλεία
Εγκεφαλικό επεισόδιο και ενδοκρανιακή αιμορραγία οι συχνότερες επιπλοκές.
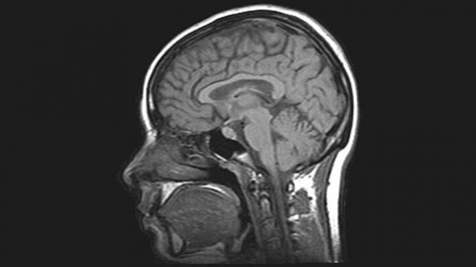
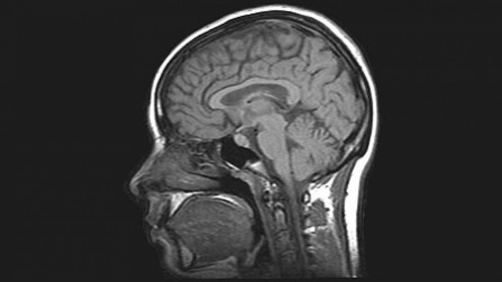
Περίπου 1 στους 100 νοσηλευόμενους ασθενείς Covid-19 εμφανίζουν επιπλοκές στο κεντρικό νευρικό σύστημα όπως εγκεφαλικό επεισόδιο και ενδοκρανιακή αιμορραγία, δείχνει μεγάλη διεθνής μελέτη.
Μεταξύ σχεδόν 40.000 ασθενών που νοσηλεύτηκαν σε ΗΠΑ και Ευρώπη με κοροναϊό, περίπου το 11% θεωρήθηκε ύποπτο για επιπλοκές στον εγκέφαλο και υποβλήθηκε σε αξονική και μαγνητική τομογραφία.
Εγκεφαλικές αλλοιώσεις που πιθανότατα σχετίζονται με τον κοροναϊό ανιχνεύθηκαν στο 10% αυτών των ύποπτων κρουσμάτων, κάτι που σημαίνει ότι οι επιπλοκές αυτές αντιστοιχούν στο 1,2% του συνόλου των νοσηλευόμενων ασθενών.

Η συχνότερες επιπλοκές ήταν το ισχαιμικό εγκεφαλικό επεισόδιο λόγω θρόμβων (6,2%), ενδοκρανιακή αιμορραγία (3,7%) και εγκεφαλίτιδα, ή φλεγμονή του εγκεφάλου (0,47%).
«Η μελέτη μας δείχνει ότι οι επιπλοκές στο κεντρικό νευρικό σύστημα αποτελούν σημαντική αιτία θνησιμότητας και θνητότητας σε αυτή την καταστροφική πανδημία» δήλωσε ο δρ Σκοτ Φάρο του Πανεπιστημίου «Τζόμας Τζέφερσον» της Φιλαδέλφεια, επικεφαλής της έρευνας που παρουσιάστηκε στο ετήσιο συνέδριο της Εταιρείας Ραδιολογίας Βόρειας Αμερικής.
- Έπιασε στασίδι ο Παππάς στην αναμονή εισιτηρίου για την πρώτη θέση
- Γιώργος Λαζάνης: Ο δίκαιος και ο άδικος λόγος
- Παγωνιά και… πλαστικό: Αυτά θα συναντήσει ο Ολυμπιακός στο Καζακστάν κόντρα στην Καϊράτ
- «Ψυχοσεξουαλικό ποπ θρίλερ» – Η Αν Χάθαγουεϊ και η Μικαέλα Κόελ αναμετρώνται στο πρώτο τρέιλερ της επικής ταινίας Mother Mary
- «Μια νύχτα μόνο» στο MEGA: Τι θα δούμε στα επόμενα συγκλονιστικά επεισόδια
- Αυστρία: Ορειβάτης άφησε την σύντροφό του «να παγώσει μέχρι θανάτου» σε κορυφή βουνού
- Brain drain στην Apple – Δεκάδες στελέχη αυτομολούν στους ανταγωνιστές
- ΠΑΟΚ και Ολυμπιακός «μάχονται» για τον τίτλο του League Cup
Ακολουθήστε το in.gr στο Google News και μάθετε πρώτοι όλες τις ειδήσεις






![Άκρως Ζωδιακό: Τα Do’s και Don’ts στα ζώδια σήμερα [Παρασκευή 05.12.2025]](https://www.in.gr/wp-content/uploads/2025/12/pexels-kammeran-gonzalez-keola-3137381-9559884-315x220.jpg)



























































Αριθμός Πιστοποίησης Μ.Η.Τ.232442