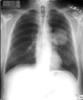
Γονιδιακό τεστ συμβάλλει στη διάγνωση του καρκίνου του πνεύμονα
Ουάσιγκτον: Ένα τεστ που εντοπίζει κατεστραμμένα γονίδια στους πνεύμονες ατόμων που αντιμετωπίζουν αυξημένο κίνδυνο εκδήλωσης καρκίνου των πνευμόνων, μπορεί να προβλέψει πραγματικά ποιος τελικά θα εκδηλώσει τη νόσο, σύμφωνα με αμερικανική μελέτη που δημοσιεύεται στο επιστημονικό έντυπο Cancer Research.




Αριθμός Πιστοποίησης Μ.Η.Τ.232442