Ένας στους τέσσερις κατοίκους των Οινοφύτων πεθαίνει από καρκίνο
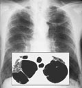
Αθήνα: Αυξημένη κατά 14% είναι η θνησιμότητα από καρκίνο των κατοίκων των Οινοφύτων, σε σχέση με εκείνη των κατοίκων σε όλο τον Νομό Βοιωτίας. Επιστημονική έρευνα δείχνει πως ο καρκίνος ήταν η αιτία θανάτου για έναν στους τέσσερις κατοίκους των Οινοφύτων τα τελευταία 10 χρόνια, γεγονός που ενδέχεται να οφείλεται στο μολυσμένο από εξασθενές χρώμιο νερό.




Αριθμός Πιστοποίησης Μ.Η.Τ.232442