Ανήλικη κατάπιε καρφίτσα - Πώς σώθηκε από τους γιατρούς στο Ιπποκράτειο Θεσσαλονίκης
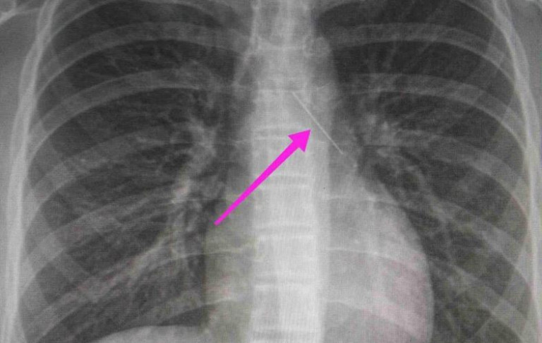
Ένα ανήλικο κορίτσι μεταφέρθηκε από τους γονείς της στο Ιπποκράτειο Νοσοκομείο Θεσσαλονίκης, καθώς είχε καταπιεί καρφίτσα - Το παιδί έσωσαν οι γιατροί του νοσοκομείου.




Αριθμός Πιστοποίησης Μ.Η.Τ.232442