Νέα αναστολή δρομολογίων στον Προαστιακό
Την ανακοίνωση για τα δρομολόγια του Προαστιακού έκανε η ΤΡΑΙΝΟΣΕ.
Την ανακοίνωση για τα δρομολόγια του Προαστιακού έκανε η ΤΡΑΙΝΟΣΕ.

Νέα μέθοδος αξιολόγησης που θα οδηγήσει σε στοιχεία και συμπεράσματα και (πιθανώς) σε νέες πολιτικές

Ο καιρός «αγριεύει» και πάλι τις επόμενες μέρες, ενώ αύριο Τρίτη θα είναι βροχερός και στην Αττική.

Ο δράστης είχε συλληφθεί τον Αύγουστο 2019 και είχε αθωωθεί και από κατηγορία για βιασμο.

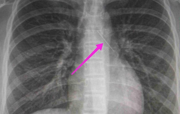
Ένα ανήλικο κορίτσι μεταφέρθηκε από τους γονείς της στο Ιπποκράτειο Νοσοκομείο Θεσσαλονίκης, καθώς είχε καταπιεί καρφίτσα - Το παιδί έσωσαν οι γιατροί του νοσοκομείου.
Ο επιχειρηματίας κατέθεσε υπόμνημα περιγράφοντας αναλυτικά τις θέσεις του και φέρεται να είπε πως γνώριζε από την αρχή ότι θα καταστεί κατηγορούμενος λόγω των αποκαλύψεων του, αλλά το έκανε για να αποκαταστήσει το όνομα και την υπόληψή του.
Παιδιά ηλικίας 4 έως 18 ετών ήταν το ένα τρίτο των κρουσμάτων της πανδημίας σύμφωνα με τα συγκεντρωτικά στοιχεία του ΕΟΔΥ για την εβδομάδα 17-23 Ιανουαρίου
Η εφευρετικότητα μαθητών στο Κιλκίς αποτέλεσε αντικείμενο θαυμασμού του Δημάρχου αλλά και του έντονου ενδιαφέροντος των προέδρων του ΕΒΕΑ και της Ελληνικής Αναπτυξιακής Τράπεζας Επενδύσεων
Στο δικαστήριο προσκομίστηκε και η βεβαίωση του σχολείου για την φοίτηση του παιδιού
Μέχρι και την Τριτη 08/02/2022.
Καταγγελία από το γιο μίας 68χρονης καρκινοπαθούς με κοροναϊό στα Χανιά. Όπως υποστηρίζει, αναγκάστηκε να περιμένει 10 ώρες μέσα στο αυτοκίνητο, περιμένοντας να αδειάσει κρεβάτι στο νοσοκομείο.
Με μια συγκινητική ανάρτηση στα κοινωνικά δίκτυα ορειβατικοί συλλόγοι αποχαιρετούν τον αγαπητό αθλητή.
Πότε αναμένεται το πόρισμα για την υπόθεση βιασμού στη Θεσσαλονίκη
Τι αναφέρει σε ανακοίνωσή του ο ΣΥΡΙΖΑ
Βροχές, καταιγίδες και χιονοπτώσεις θα συνθέτουν το σκηνικό του καιρού τις επόμενες ημέρες με την ΓΓΠΠ να εκδίδει οδηγίες προς τους πολίτες
Ο Γιώργος Θεοδωρίδης χαρακτηρίζει ως «νεολογισμό» τον όρο «Μονόλυκος» που προσδόθηκε στον λύκο που φέρεται να εμφανίστηκε στον Διόνυσο τις τελευταίες ημέρες
Κοντεύω να ξεχάσω και αυτά που έχω μάθει τόσα χρόνια.
Στα Ιωάννινα υπογράφηκε η σύμβαση αναβάθμισης της πίστας ποδηλάτου, ένα έργο 150.000 ευρώ που πρόκειται να ξεκινήσει η υλοποίηση του άμεσα.
Η βουλευτής επικρατείας της Νέας Δημοκρατίας, είχε ατύχημα με το αμαξίδιό της πριν αρκετές ημέρες, με αποτέλεσμα η κατάσταση της υγείας της να επιδεινωθεί τα τελευταία 24ωρα.
Ο Άκης Τσοχατζόπουλος, φανερά καταβεβλημένος, λίγους μήνες πριν πεθάνει, ήθελε να εξηγήσει ποιους και γιατί αποκληρώνει στις διαθήκες, τόσο σε αυτή που άνοιξε όσο και στις επόμενες που θα ακολουθήσουν
Το 2021 νοσηλεύτηκαν στις ΜΕΘ Covid 456 ασθενείς με θνητότητα 55% (259 ασθενείς).
Επέστρεψαν σήμερα οι μαθητές στα σχολεία της Αττικής, μετά το «χτύπημα» της «Ελπίδας».
Από τη διερεύνηση της υπόθεσης προέκυψε παράβαση, η οποία αφορά σε πλημμελή λόγω υλοποίηση της διαδικασίας ανωνυμοποίησης των επίδικων αρχείων καθώς και σε ελλιπή μέτρα ασφαλείας για την προστασία των προσωπικών δεομένων
Πώς θα εξελιχθεί ο καιρός τις επόμενες μέρες - Ποιες περιοχές θα επηρεαστούν
Μνημόνιο συνεργασίας υπέγραψε ο Δήμος Λαρισαίων με την UNICEF, γεγονός που δεσμεύει την δημοτική Αρχή να προβεί όλες τις αναγκαίες πρωτοβουλίες, για να κάνει την Λάρισα μια πόλη φιλική προς τα παιδιά.
Διαχειριστής - Διευθυντής: Λευτέρης Θ. Χαραλαμπόπουλος
Διευθύντρια Σύνταξης: Αργυρώ Τσατσούλη
Ιδιοκτησία - Δικαιούχος domain name: ALTER EGO MEDIA A.E.
Νόμιμος Εκπρόσωπος: Ιωάννης Βρέντζος
Έδρα - Γραφεία: Λεωφόρος Συγγρού αρ 340, Καλλιθέα, ΤΚ 17673
ΑΦΜ: 800745939, ΔΟΥ: ΚΕΦΟΔΕ ΑΤΤΙΚΗΣ
Ηλεκτρονική διεύθυνση Επικοινωνίας: in@alteregomedia.org, Τηλ. Επικοινωνίας: 2107547007
Αριθμός Πιστοποίησης Μ.Η.Τ.232442