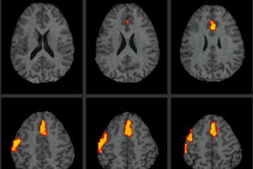
Τζελ αποκαθιστά τις εγκεφαλικές βλάβες σε πειραματόζωα
Λονδίνο: Ένα ενέσιμο υδροτζελ μπορεί να συμβάλλει στην ανάρρωση από την εγκεφαλική βλάβη, συντελώντας στην διέγερση της ιστολογικής ανάπτυξης στο σημείο του τραυματισμού, σύμφωνα με στοιχεία που φέρνει στο φως της δημοσιότητας το BBC.




Αριθμός Πιστοποίησης Μ.Η.Τ.232442