Τετάρτη 15 Απριλίου 2026
weather-icon 16o

ενδονοσοκομειακές λοιμώξεις

Όλα τα άρθρα για το tag: ενδονοσοκομειακές λοιμώξεις

Εφιάλτης για τους γιατρούς στα νοσοκομεία η μικροβιακή αντοχή – Έρχονται 92 επιτηρητές λοιμώξεων

Καθήκοντα επιτηρητή λοιμώξεων αναλαμβάνουν 92 ειδικοί που θα τοποθετηθούν σε νοσοκομεία της χώρας - «Θα ελέγχουν το πρόβλημα της μικροβιακής αντοχής και των νοσοκομειακών λοιμώξεων»

Σύνταξη

Μέχρι 29 δισ. δολ το χρόνο για ανθεκτικές λοιμώξεις στον ΟΟΣΑ

Δραματικές οι επιπτώσεις από την μικροβιακή αντοχή την επόμενη δεκαετία αν δεν ληφθούν μέτρα για πρόληψη των ανθεκτικών λοιμώξεων επισημαίνει ο καθηγητής Οικονομικών της Υγείας Γιάννης Υφαντόπουλος

Άννα Παπαδομαρκάκη
Άννα Παπαδομαρκάκη

Τραγικό: Σχεδόν ένας στους δύο με νοσοκομειακή λοίμωξη πεθαίνει

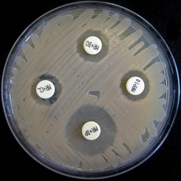
Πανανθεκτικά τα μικρόβια ακινετοβακτήριο, ψευδομονάδα και εντεροβακτηριοειδή – Αυξάνονται τα ποσοστά των μικροβίων που δεν τα «πιάνει» κανένα από τα διαθέσιμα αντιβιοτικά

Άννα Παπαδομαρκάκη
Άννα Παπαδομαρκάκη

«Στενό μαρκάρισμα» στα αντιβιοτικά

Εξοικονομήσεις που μπορούν να ενισχύσουν προγράμματα περιορισμού των ενδονοσοκομειακών λοιμώξεων φέρνει η εντατική επιτήρηση στη χορήγηση αντιβιοτικών

Άννα Παπαδομαρκάκη
Άννα Παπαδομαρκάκη

Απίστευτες οδηγίες: Είναι το μανικιούρ αιτία νοσοκομειακών λοιμώξεων;

Νέες οδηγίες για την πρόληψη των νοσοκομειακών λοιμώξεων δίνουν 5 ιατρικοί φορείς που τώρα εστιάζουν στην υγιεινή των νυχιών και στα σημεία τοποθέτησης απολυμαντικών τζελ στα νοσοκομεία

Άννα Παπαδομαρκάκη
Άννα Παπαδομαρκάκη

Από τι κινδυνεύουμε περισσότερο όταν νοσηλευόμαστε στο νοσοκομείο

Νοσηλεία που πήγε χειρότερα απ΄ότι αναμενόταν; Συμβαίνει διεθνώς και αυξάνει κατακόρυφα τη θνησιμότητα, αλλά και την παραμονή του ασθενή στο νοσοκομείο

Άννα Παπαδομαρκάκη
Άννα Παπαδομαρκάκη

Η κλιματική αλλαγή δείχνει τα δόντια της με τον Candida auris - Όταν καλπάζουν οι ενδονοσοκομειακές λοιμώξεις

Από τη Σκύλα στη Χάρυβδη οι λοιμωξιολόγοι καλούνται μέσα στην πανδημία του κοροναϊού να αντιμετωπίσουν νοσηρότητα που χρειάζεται αντίθετες θεραπείες

Άννα Παπαδομαρκάκη
Άννα Παπαδομαρκάκη

Στο Γενικό Νοσοκομείο Ζακύνθου ο Παύλος Πολάκης

Στο Γενικό Νοσοκομείο Ζακύνθου βρίσκεται σήμερα το πρωί ο αναπληρωτής υπουργός Υγείας Παύλος Πολάκης προκειμένου να ενημερωθεί για το θέμα των κλειστών χειρουργείων. Η Πανελλήνια Ομοσπονδία Εργαζομένων Δημοσίων Νοσοκομείων (ΠΟΕΔΗΝ) με χθεσινή ανακοίνωσή της κατηγορεί την διοίκηση του νοσοκομείου για εσπευσμένο άνοιγμα των χειρουργείων χωρίς να πληρούνται οι κανόνες ασφαλείας.

Σύνταξη

ΠΟΕΔΗΝ: Η διάλυση του ΕΣΥ προκαλεί αύξηση των νοσοκομειακών λοιμώξεων

Μείζον πρόβλημα για την Δημόσια Υγεία χαρακτηρίζει η Πανελλήνια Ομοσπονδία Εργαζομένων Δημοσίων Νοσοκομείων (ΠΟΕΔΗΝ) τις νοσοκομειακές λοιμώξεις, αποδίδοντας μεταξύ άλλων το φαινόμενο στην αποδυνάμωση του ΕΣΥ εξαιτίας ελλείψεων σε υλικοτεχνική υποδομή και προσωπικό. Μάλιστα, σύμφωνα με στοιχεία που δίνει «στη χώρα μας προσβάλλονται από νοσοκομειακές λοιμώξεις κατά μέσο όρο το 15% των εισαγωγών στα δημόσια νοσοκομεία και η θνησιμότητα είναι πάνω από 30% των προσβληθέντων».

Σύνταξη

Εξηγήσεις για τις ενδονοσοκομειακές λοιμώξεις ζητά το Ποτάμι

Επίκαιρη ερώτηση προς τον υπουργό Υγείας, Ανδρέα Ξανθό, κατέθεσε ο βουλευτής Λάρισας με το Ποτάμι, Κωνσταντίνος Μπαργιώτας, σχετικά με τις ενδονοσοκομειακές λοιμώξεις και το εθνικό σχέδιο δράσης «Προκρούστης» για την αντιμετώπιση του προβλήματος.

Σύνταξη

Νέες κατευθυντήριες οδηγίες για τις ενδονοσοκομειακές λοιμώξεις εξέδωσε ο ΠΟΥ

Νέες κατευθυντηριες οδηγίες για την πρόληψη και αντιμετώπιση των λοιμώξεων πριν και κατά τη διάρκεια του χειρουργείου, εξέδωσε σήμερα ο Παγκόσμιος Οργανισμός Υγείας. Στις νέες οδηγίες που σκοπό έχουν να μειώσουν την εξάπλωση δυνητικά θανατηφόρων πολυανθεκτικών βακτηρίων σε νοσοκομεία και κλινικές σε όλο τον κόσμο, αναφέρεται μεταξύ άλλων πως η εμμονή στην καθαριότητα και στην υγιεινή είναι κρίσιμος παράγοντας, όπως και η προσεκτική χρήση αντιβιοτικών.

Σύνταξη

Ενδονοσοκομειακές λοιμώξεις, γενόσημα φάρμακα και παιδική παχυσαρκία «ταλαιπωρούν» το ΕΣΥ

Με τις σύγχρονες «προκλήσεις» του συστήματος υγείας, δηλαδή τις ενδονοσοκομειακές λοιμώξεις, τα γενόσημα φάρμακα, την παιδική παχυσαρκία, αλλά και τα θεραπευτικά πρωτόκολλα, θα ασχοληθούν οι συμμετέχοντες στο 40ο Ετήσιο Πανελλήνιο Συνέδριο της Ιατρικής Εταιρείας Αθηνών (ΙΕΑ) που θα πραγματοποιηθεί 14 – 17 Μαΐου 2014, στην Αθήνα.

Σύνταξη

Τα πολυανθεκτικά μικρόβια υπεύθυνα για το 40,5% των θανάτων από ενδονοσοκομειακές λοιμώξεις

Παγκόσμιο πρόβλημα δημόσιας υγείας έχει καταστεί η αύξηση της αντοχής των παθογόνων μικροβίων στα αντιβιοτικά τα οποία χρησιμοποιούνται στη καθημερινή κλινική πράξη. Στην Ελλάδα οι θάνατοι συνεπεία νοσοκομειακών λοιμώξεων από πολυανθεκτικά ή πανανθεκτικά μικρόβια όπως η κλεμπσιέλλα, το ακινετοβακτηρίδιο και η ψευδομονάδα, ανέρχονται στο 40,5% ενώ παρατείνεται η νοσηλεία του 25,8% των ασθενών.

Σύνταξη

Ενδονοσοκομειακές λοιμώξεις πλήττουν το 20% των εισαγομένων στα νοσοκομεία

Αθήνα: Δύο στους δέκα ασθενείς που εισάγονται στα νοσοκομεία προσβάλλονται από ενδονοσοκομειακές λοιμώξεις, οι οποίες αποτελούν παγκοσμίως την τέταρτη αιτία θανάτου, μετά τα καρδιαγγειακά νοσήματα, τον καρκίνο και τα δυστυχήματα. Στη χώρα μας, όπου οι συνθήκες υγιεινής στα νοσοκομεία δεν είναι πάντοτε οι καλύτερες, η συχνότητα των ενδονοσοκομειακών λοιμώξεων είναι μεγαλύτερη και οι συνέπειές τρομακτικές, σύμφωνα με εκτιμήσεις που θα κατατεθούν στο 12ο Πανελλήνιο Συνέδριο Διπλωματούχων Νοσηλευτριών-Νοσηλευτών Χειρουργείου, οι εργασίες του οποίου θα πραγματοποιηθούν από τις 5 έως τις 7 Οκτωβρίου στη Θεσσαλονίκη.

Σύνταξη

Πέντε χιλιάδες νεκροί ετησίως στη Μ. Βρετανία από ενδονοσοκομειακές λοιμώξεις

Λονδίνο: Το Εθνικό Σύστημα Υγείας της Βρετανίας πρέπει να διαθέσει μεγαλύτερα ποσά, προκειμένου να επιλύσει το ακανθώδες πρόβλημα των ενδονοσοκομειακών λοιμώξεων, καθώς οι νεκροί από αυτές ξεπερνούν σε ετήσια βάση τους πέντε χιλιάδες.

Σύνταξη

in.gr | Ταυτότητα

Διαχειριστής - Διευθυντής: Λευτέρης Θ. Χαραλαμπόπουλος

Διευθύντρια Σύνταξης: Αργυρώ Τσατσούλη

Ιδιοκτησία - Δικαιούχος domain name: ALTER EGO MEDIA A.E.

Νόμιμος Εκπρόσωπος: Ιωάννης Βρέντζος

Έδρα - Γραφεία: Λεωφόρος Συγγρού αρ 340, Καλλιθέα, ΤΚ 17673

ΑΦΜ: 800745939, ΔΟΥ: ΚΕΦΟΔΕ ΑΤΤΙΚΗΣ

Ηλεκτρονική διεύθυνση Επικοινωνίας: in@alteregomedia.org, Τηλ. Επικοινωνίας: 2107547007

ΜΗΤ Αριθμός Πιστοποίησης Μ.Η.Τ.232442

Τετάρτη 15 Απριλίου 2026
Cookies