Τετάρτη 27 Μαϊου 2026
weather-icon 24o
Ηράκλειο: Τρομακτική περιπέτεια για 4χρονο αγοράκι – Κατάπιε κέρμα και βρέθηκε στο νοσοκομείο

Ηράκλειο: Τρομακτική περιπέτεια για 4χρονο αγοράκι – Κατάπιε κέρμα και βρέθηκε στο νοσοκομείο

Η επιχείρηση αφαίρεσης του κέρματος στέφθηκε από επιτυχία - Το παιδί επέστρεψε σπίτι έγκαιρα για να υποδεχθεί το 2024

Ανακαλύψτε περισσότερα άρθρα στα αποτελέσματα αναζήτησης

Προσθήκη του in.gr στην Google

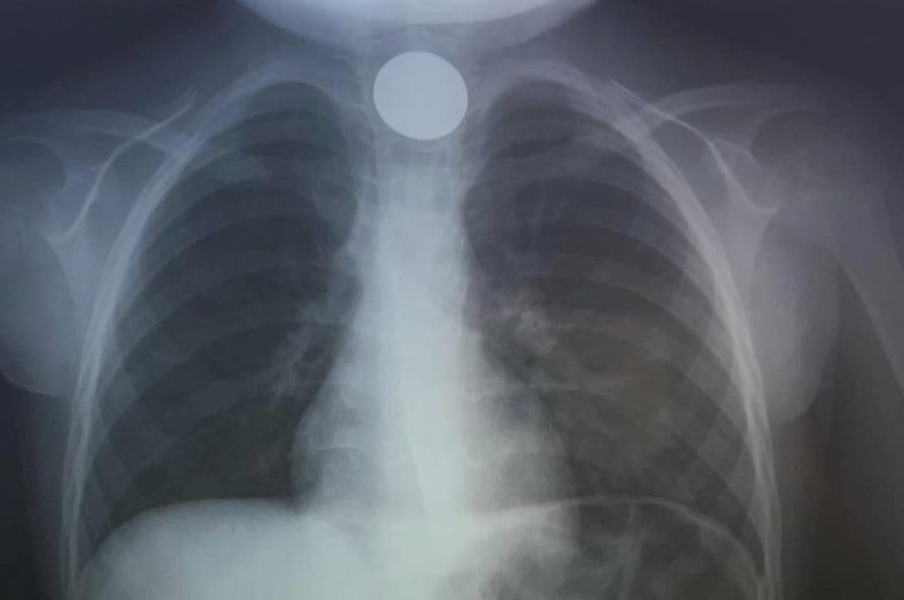
Περιπετειώδες ήταν το τελευταίο βράδυ του 2023 για μία οικογένεια στην Κρήτη, καθώς το 4χρονο παιδί τους, λίγες ώρες πριν την έλευση του 2024, κατάπιε κατά λάθος ένα κέρμα και μεταφέρθηκε εσπευσμένα στο νοσοκομείο του Ηρακλείου.

Στιγμές τρόμου έζησαν το βράδυ της παραμονής της Πρωτοχρονιάς τόσο το 4χρονο αγοράκι όσο και η οικογένειά του, στο τέλος όμως όλα πήγαν καλά, καθώς οι γιατροί προχώρησαν στην έγκαιρη και επιτυχημένη αφαίρεσή του.

Πώς αντιμετώπισαν το επείγον περιστατικό οι γιατροί του ΠΑΓΝΗ

Πιο συγκεκριμένα, ο μικρός κάτω από αδιευκρίνιστες συνθήκες κατάπιε κατά λάθος ένα κέρμα και όταν οι γονείς του αντιλήφθηκαν τι είχε συμβεί έσπευσαν να το μεταφέρθουν στο νοσοκομείο. Το παιδί δυσκολευόταν μεν να αναπνεύσει, αλλά ευτυχώς είχε τις αισθήσεις του.

Όταν έφτασαν στο ΠΑΓΝΗ, η πρώτη κίνηση των γιατρών ήταν να του κάνουν ακτινογραφία, για να δουν σε ποιο σημείο ακριβώς είχε σταθεί το νόμισμα και αμέσως μετά προχώρησαν στη διαδικασία αφαίρεσής του. Δεν πέρασε πολύς χρόνος και οι γιατροί ακτάφεραν να αντιμετωπίσουν επιτυχώς το επείγον περιστατικό, λύνοντας ταχύτατα το πρόβλημα.

Επέστρεψε σπίτι έγκαιρα για να γιορτάσει την αλλαγή του χρόνου

Στη συνέχεια το 4χρονο αγοράκι επέστρεψε σπίτι του και υποδέχθηκε μαζί με τους δικούς του ανθρώπους το ερχομό του νέου έτους.

Την κατάσταση κλήθηκαν να αντιμετωπίσουν γιατροί στην Ωτορινολαρυγγολογική Κλινική του ΠΑΓΝΗ. Σε σχετική ανάρτηση της κλινικής αναφέρεται το περιστατικό μαζί με ευχές για μια καλή χρονιά: «Αποχαιρετάμε το 2023 με επείγουσα αφαίρεση σε κατάποση κέρματος σε 4χρονο. Καλή Χρονιά».

Η ανάρτηση της ΩΡΛ Κλινικής του ΠΑΓΝΗ

Σχόλια
Γράψτε το σχόλιό σας
0 /50
0 /2000

Ακολουθήστε το in.gr στο Google News και μάθετε πρώτοι όλες τις ειδήσεις

Προσθήκη του in.gr στην Google

in.gr | Ταυτότητα

Διαχειριστής - Διευθυντής: Λευτέρης Θ. Χαραλαμπόπουλος

Διευθύντρια Σύνταξης: Αργυρώ Τσατσούλη

Ιδιοκτησία - Δικαιούχος domain name: ALTER EGO MEDIA A.E.

Νόμιμος Εκπρόσωπος: Ιωάννης Βρέντζος

Έδρα - Γραφεία: Λεωφόρος Συγγρού αρ 340, Καλλιθέα, ΤΚ 17673

ΑΦΜ: 800745939, ΔΟΥ: ΚΕΦΟΔΕ ΑΤΤΙΚΗΣ

Ηλεκτρονική διεύθυνση Επικοινωνίας: in@alteregomedia.org, Τηλ. Επικοινωνίας: 2107547007

ΜΗΤ Αριθμός Πιστοποίησης Μ.Η.Τ.232442

Τετάρτη 27 Μαϊου 2026
Cookies