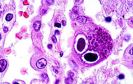
ΕΕ: Εγκρίθηκε αντιϊκό για την προφύλαξη από τον κυτταρομεγαλοϊό
Την εμπορική διάθεση του αντιϊκού letermovir για την προφύλαξη από την ενεργοποίηση του κυτταρομεγαλοϊού (CMV) και την νόσο σε ενήλικες CMV οροθετικούς λήπτες (R+) ενός αλλογενούς μοσχεύματος αρχέγονων αιμοποιητικών κυττάρων (HSCT), ενέκρινε προ ημερών η Ευρωπαϊκή Επιτροπή.




Αριθμός Πιστοποίησης Μ.Η.Τ.232442